Cystatin B antibody, C-term

Cat. No. GTX15970
Cat. No.  GTX15970
Anti-Cystatin B antibody, C-term used in IHC (Paraffin sections) (IHC-P). GTX15970
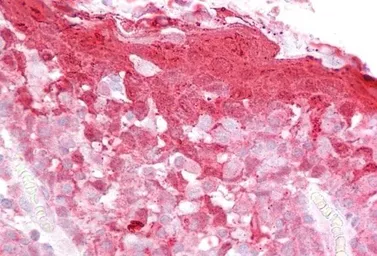
GTX15970 IHC-P Image

IHC-P analysis of human tonsil using GTX15970 Cystatin B antibody, C-term.
Antigen retrieval : citrate buffer pH 6
Dilution : 2.5μg/ml

1 / 2
Anti-Cystatin B antibody, C-term used in Western Blot (WB). GTX15970
GTX15970 WB Image

WB analysis of human lungs using GTX15970 Cystatin B antibody, C-term.
Dilution : 0.1μg/ml
Loading : 35μg protein in RIPA buffer

2 / 2
Anti-Cystatin B antibody, C-term used in IHC (Paraffin sections) (IHC-P). GTX15970
Anti-Cystatin B antibody, C-term used in Western Blot (WB). GTX15970
  • Host
    Goat
  • Clonality
    Polyclonal
  • Isotype
    IgG
  • Applications
    WB IHC-P
  • Reactivity
    Human
See all Cystatin B products