Cytohesin 1 + Cytohesin 2 antibody [6G11]

Cat. No. GTX22729
Cat. No.  GTX22729
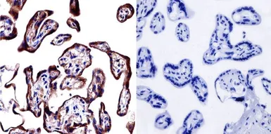
Anti-Cytohesin 1 + Cytohesin 2 antibody [6G11] used in IHC (Paraffin sections) (IHC-P). GTX22729
GTX22729 IHC-P Image

IHC-P analysis of human placenta tissue using GTX22729 Cytohesin 1 + Cytohesin 2 antibody [6G11].
Left : Primary antibody
Right : Negative control without primary antibody
Antigen retrieval : heat induced antigen retrieval was performed using 10mM sodium citrate (pH6.0) buffer, microwaved for 8-15 minutes
Dilution : 1:500

1 / 6
Anti-Cytohesin 1 + Cytohesin 2 antibody [6G11] used in Immunocytochemistry/ Immunofluorescence (ICC/IF). GTX22729
GTX22729 ICC/IF Image

ICC/IF analysis of HeLa cells using GTX22729 Cytohesin 1 + Cytohesin 2 antibody [6G11]. Cells were probed without (right) or with(left) an antibody.
Green : Primary antibody
Blue : Nuclei
Red : Actin
Fixation : formaldehyde
Dilution : 1:100 overnight at 4 ºC

2 / 6
Anti-Cytohesin 1 + Cytohesin 2 antibody [6G11] used in Immunocytochemistry/ Immunofluorescence (ICC/IF). GTX22729
GTX22729 ICC/IF Image

ICC/IF analysis of NIH-3T3 cells using GTX22729 Cytohesin 1 + Cytohesin 2 antibody [6G11]. Cells were probed without (right) or with(left) an antibody.
Green : Primary antibody
Blue : Nuclei
Red : Actin
Fixation : formaldehyde
Dilution : 1:100 overnight at 4 ºC

3 / 6
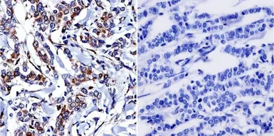
Anti-Cytohesin 1 + Cytohesin 2 antibody [6G11] used in IHC (Paraffin sections) (IHC-P). GTX22729
GTX22729 IHC-P Image

IHC-P analysis of human tonsil tissue using GTX22729 Cytohesin 1 + Cytohesin 2 antibody [6G11].
Left : Primary antibody
Right : Negative control without primary antibody
Antigen retrieval : heat induced antigen retrieval was performed using 10mM sodium citrate (pH6.0) buffer, microwaved for 8-15 minutes
Dilution : 1:200

4 / 6
Anti-Cytohesin 1 + Cytohesin 2 antibody [6G11] used in Immunocytochemistry/ Immunofluorescence (ICC/IF). GTX22729
GTX22729 ICC/IF Image

ICC/IF analysis of HepG2 cells using GTX22729 Cytohesin 1 + Cytohesin 2 antibody [6G11]. Cells were probed without (right) or with(left) an antibody.
Green : Primary antibody
Blue : Nuclei
Red : Actin
Fixation : formaldehyde
Dilution : 1:100 overnight at 4 ºC

5 / 6
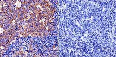
Anti-Cytohesin 1 + Cytohesin 2 antibody [6G11] used in IHC (Paraffin sections) (IHC-P). GTX22729
GTX22729 IHC-P Image

IHC-P analysis of human breast carcinoma tissue using GTX22729 Cytohesin 1 + Cytohesin 2 antibody [6G11].
Left : Primary antibody
Right : Negative control without primary antibody
Antigen retrieval : heat induced antigen retrieval was performed using 10mM sodium citrate (pH6.0) buffer, microwaved for 8-15 minutes
Dilution : 1:300

6 / 6
Anti-Cytohesin 1 + Cytohesin 2 antibody [6G11] used in IHC (Paraffin sections) (IHC-P). GTX22729
Anti-Cytohesin 1 + Cytohesin 2 antibody [6G11] used in Immunocytochemistry/ Immunofluorescence (ICC/IF). GTX22729
Anti-Cytohesin 1 + Cytohesin 2 antibody [6G11] used in Immunocytochemistry/ Immunofluorescence (ICC/IF). GTX22729
Anti-Cytohesin 1 + Cytohesin 2 antibody [6G11] used in IHC (Paraffin sections) (IHC-P). GTX22729
Anti-Cytohesin 1 + Cytohesin 2 antibody [6G11] used in Immunocytochemistry/ Immunofluorescence (ICC/IF). GTX22729
Anti-Cytohesin 1 + Cytohesin 2 antibody [6G11] used in IHC (Paraffin sections) (IHC-P). GTX22729
  • Host
    Mouse
  • Clonality
    Monoclonal
  • Clone Name
    6G11
  • Isotype
    IgG1
  • Applications
    WB ICC/IF IHC-P IP
  • Reactivity
    Human, Mouse
See all Cytohesin 1,2 products