Cytokeratin 14 antibody [GT985]

Cat. No. GTX634409
Cat. No.  GTX634409
Anti-Cytokeratin 14 antibody [GT985] used in Western Blot (WB). GTX634409
GTX634409 WB Image

Whole cell extract (30 μg) was separated by 10% SDS-PAGE, and the membrane was blotted with Cytokeratin 14 antibody [GT985] (GTX634409) diluted at 1:5000. The HRP-conjugated anti-mouse IgG antibody (GTX213111-01) was used to detect the primary antibody.

1 / 2
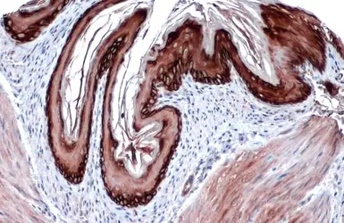
Anti-Cytokeratin 14 antibody [GT985] used in IHC (Paraffin sections) (IHC-P). GTX634409
GTX634409 IHC-P Image

Cytokeratin 14 antibody [GT985] detects Cytokeratin 14 protein at cytoplasm by immunohistochemical analysis.
Sample: Paraffin-embedded mouse esophagus.
Cytokeratin 14 stained by Cytokeratin 14 antibody [GT985] (GTX634409) diluted at 1:200.
Antigen Retrieval: Citrate buffer, pH 6.0, 15 min

2 / 2
Anti-Cytokeratin 14 antibody [GT985] used in Western Blot (WB). GTX634409
Anti-Cytokeratin 14 antibody [GT985] used in IHC (Paraffin sections) (IHC-P). GTX634409
  • Host
    Mouse
  • Clonality
    Monoclonal
  • Clone Name
    GT985
  • Isotype
    IgG2b
  • Applications
    WB IHC-P
  • Reactivity
    Human, Mouse
See all Cytokeratin 14 products