Cytokeratin 19 antibody [1H6]

Cat. No. GTX60457
Cat. No.  GTX60457
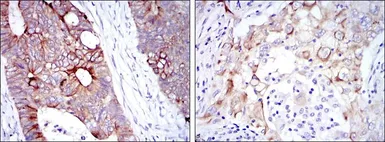
Anti-Cytokeratin 19 antibody [1H6] used in IHC (Paraffin sections) (IHC-P). GTX60457
GTX60457 IHC-P Image

IHC-P analysis of stomach cancer tissue (left) and stomach tissue (right) using GTX60457 Cytokeratin 19 antibody [1H6].

1 / 4
Anti-Cytokeratin 19 antibody [1H6] used in ELISA (ELISA). GTX60457
GTX60457 ELISA Image

ELISA analysis of antigen using GTX60457 Cytokeratin 19 antibody [1H6].
Red : Control antigen 100ng
Purple : Antigen 10ng
Green : Antigen 50ng
Blue : Antigen 100ng

2 / 4
Anti-Cytokeratin 19 antibody [1H6] used in Western Blot (WB). GTX60457
GTX60457 WB Image

WB analysis of T47D (1), MCF-7 (2), SKBR-3 (3), HepG2 (4), Caco-2 (5) and SW620 (6) cell lysate using GTX60457 Cytokeratin 19 antibody [1H6].

3 / 4
Anti-Cytokeratin 19 antibody [1H6] used in IHC (Paraffin sections) (IHC-P). GTX60457
GTX60457 IHC-P Image

IHC-P analysis of rectum cancer tissue (left) and lung cancer tissue (right) using GTX60457 Cytokeratin 19 antibody [1H6].

4 / 4
Anti-Cytokeratin 19 antibody [1H6] used in IHC (Paraffin sections) (IHC-P). GTX60457
Anti-Cytokeratin 19 antibody [1H6] used in ELISA (ELISA). GTX60457
Anti-Cytokeratin 19 antibody [1H6] used in Western Blot (WB). GTX60457
Anti-Cytokeratin 19 antibody [1H6] used in IHC (Paraffin sections) (IHC-P). GTX60457
  • Host
    Mouse
  • Clonality
    Monoclonal
  • Clone Name
    1H6
  • Isotype
    IgG1
  • Applications
    WB IHC-P ELISA
  • Reactivity
    Human
See all Cytokeratin 19 products