Cytokeratin 19 antibody [3F8]

Cat. No. GTX84251
Cat. No.  GTX84251
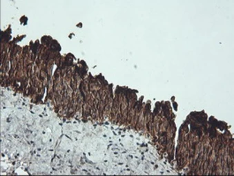
Anti-Cytokeratin 19 antibody [3F8] used in IHC (Paraffin sections) (IHC-P). GTX84251
GTX84251 IHC-P Image

IHC-P analysis of kidney carcinoma tissue using GTX84251 Cytokeratin 19 antibody [3F8].
Antigen retrieval : Heat-induced epitope retrieval by 10mM citrate buffer, pH6.0, 100ºC for 10min.
Dilution : 1:50

1 / 11
Anti-Cytokeratin 19 antibody [3F8] used in IHC (Paraffin sections) (IHC-P). GTX84251
GTX84251 IHC-P Image

IHC-P analysis of human colon tissue using GTX84251 Cytokeratin 19 antibody [3F8].
Dilution : 1:150

2 / 11
Anti-Cytokeratin 19 antibody [3F8] used in IHC (Paraffin sections) (IHC-P). GTX84251
GTX84251 IHC-P Image

IHC-P analysis of kidney tissue using GTX84251 Cytokeratin 19 antibody [3F8].
Antigen retrieval : Heat-induced epitope retrieval by 10mM citrate buffer, pH6.0, 100ºC for 10min.
Dilution : 1:50

3 / 11
Anti-Cytokeratin 19 antibody [3F8] used in Western Blot (WB). GTX84251
GTX84251 WB Image

WB analysis of various cell lines using GTX84251 Cytokeratin 19 antibody [3F8].
Loading : 35 ug per lane

4 / 11
Anti-Cytokeratin 19 antibody [3F8] used in IHC (Paraffin sections) (IHC-P). GTX84251
GTX84251 IHC-P Image

IHC-P analysis of human bladder tissue using GTX84251 Cytokeratin 19 antibody [3F8].
Dilution : 1:150

5 / 11
Anti-Cytokeratin 19 antibody [3F8] used in IHC (Paraffin sections) (IHC-P). GTX84251
GTX84251 IHC-P Image

IHC-P analysis of endometrium adenocarcinoma tissue using GTX84251 Cytokeratin 19 antibody [3F8].
Antigen retrieval : Heat-induced epitope retrieval by 10mM citrate buffer, pH6.0, 100ºC for 10min.
Dilution : 1:50

6 / 11
Anti-Cytokeratin 19 antibody [3F8] used in Immunocytochemistry/ Immunofluorescence (ICC/IF). GTX84251
GTX84251 ICC/IF Image

ICC/IF analysis of COS7 cells transiently transfected with Cytokeratin 19 plasmid using GTX84251 Cytokeratin 19 antibody [3F8].

7 / 11
Anti-Cytokeratin 19 antibody [3F8] used in IHC (Paraffin sections) (IHC-P). GTX84251
GTX84251 IHC-P Image

IHC-P analysis of human bladder carcinoma tissue using GTX84251 Cytokeratin 19 antibody [3F8].
Dilution : 1:150

8 / 11
Anti-Cytokeratin 19 antibody [3F8] used in IHC (Paraffin sections) (IHC-P). GTX84251
GTX84251 IHC-P Image

IHC-P analysis of human ovary adenocarcinoma tissue using GTX84251 Cytokeratin 19 antibody [3F8].
Dilution : 1:150

9 / 11
Anti-Cytokeratin 19 antibody [3F8] used in IHC (Paraffin sections) (IHC-P). GTX84251
GTX84251 IHC-P Image

IHC-P analysis of liver tissue using GTX84251 Cytokeratin 19 antibody [3F8].
Antigen retrieval : Heat-induced epitope retrieval by 10mM citrate buffer, pH6.0, 100ºC for 10min.
Dilution : 1:50

10 / 11
Anti-Cytokeratin 19 antibody [3F8] used in Western Blot (WB). GTX84251
GTX84251 WB Image

WB analysis of HEK293T cells transfected with Cytokeratin 19 plasmid (Right) or empty vector (Left) for 48 hrs using GTX84251 Cytokeratin 19 antibody [3F8].
Loading : 5 ug per lane

11 / 11
Anti-Cytokeratin 19 antibody [3F8] used in IHC (Paraffin sections) (IHC-P). GTX84251
Anti-Cytokeratin 19 antibody [3F8] used in IHC (Paraffin sections) (IHC-P). GTX84251
Anti-Cytokeratin 19 antibody [3F8] used in IHC (Paraffin sections) (IHC-P). GTX84251
Anti-Cytokeratin 19 antibody [3F8] used in Western Blot (WB). GTX84251
Anti-Cytokeratin 19 antibody [3F8] used in IHC (Paraffin sections) (IHC-P). GTX84251
Anti-Cytokeratin 19 antibody [3F8] used in IHC (Paraffin sections) (IHC-P). GTX84251
Anti-Cytokeratin 19 antibody [3F8] used in Immunocytochemistry/ Immunofluorescence (ICC/IF). GTX84251
Anti-Cytokeratin 19 antibody [3F8] used in IHC (Paraffin sections) (IHC-P). GTX84251
Anti-Cytokeratin 19 antibody [3F8] used in IHC (Paraffin sections) (IHC-P). GTX84251
Anti-Cytokeratin 19 antibody [3F8] used in IHC (Paraffin sections) (IHC-P). GTX84251
Anti-Cytokeratin 19 antibody [3F8] used in Western Blot (WB). GTX84251
  • Host
    Mouse
  • Clonality
    Monoclonal
  • Clone Name
    3F8
  • Isotype
    IgG1
  • Applications
    WB ICC/IF IHC-P
  • Reactivity
    Human, Rat, Dog, Monkey
See all Cytokeratin 19 products