Cytokeratin 19 antibody [9H8G6]

Cat. No. GTX83113
Cat. No.  GTX83113
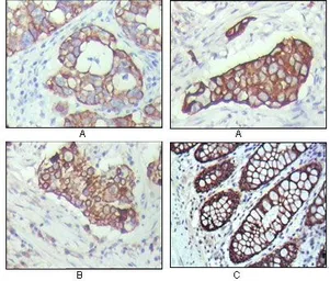
Anti-Cytokeratin 19 antibody [9H8G6] used in IHC (Paraffin sections) (IHC-P). GTX83113
GTX83113 IHC-P Image

IHC-P analysis of human breast carcinoma(A), lung cancer(B) and normal colon tissue(C) using GTX83113 Cytokeratin 19 antibody [9H8G6].

1 / 2
Anti-Cytokeratin 19 antibody [9H8G6] used in Western Blot (WB). GTX83113
GTX83113 WB Image

WB analysis of His tagged truncated -Cytokeratin 19 recombinant protein (1) and full-length Cytokeratin 19 (aa 1-400)-hIgGFc transfected CHO-K1 cell lysate (2) using GTX83113 Cytokeratin 19 antibody [9H8G6].

2 / 2
Anti-Cytokeratin 19 antibody [9H8G6] used in IHC (Paraffin sections) (IHC-P). GTX83113
Anti-Cytokeratin 19 antibody [9H8G6] used in Western Blot (WB). GTX83113
  • Host
    Mouse
  • Clonality
    Monoclonal
  • Clone Name
    9H8G6
  • Isotype
    IgG1
  • Applications
    WB IHC-P ELISA
  • Reactivity
    Human
See all Cytokeratin 19 products