Cytokeratin 5 antibody [10C11E6]

Cat. No. GTX60722
Cat. No.  GTX60722
Anti-Cytokeratin 5 antibody [10C11E6] used in Western Blot (WB). GTX60722
GTX60722 WB Image

WB analysis of A431 cell lysate using GTX60722 Cytokeratin 5 antibody [10C11E6].

1 / 4
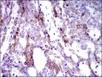
Anti-Cytokeratin 5 antibody [10C11E6] used in IHC (Paraffin sections) (IHC-P). GTX60722
GTX60722 IHC-P Image

IHC-P analysis of esophageal cancer tissue using GTX60722 Cytokeratin 5 antibody [10C11E6].

2 / 4
Anti-Cytokeratin 5 antibody [10C11E6] used in ELISA (ELISA). GTX60722
GTX60722 ELISA Image

ELISA analysis of antigen using GTX60722 Cytokeratin 5 antibody [10C11E6].
Black : Control antigen 100ng
Purple : Antigen 10ng
Blue : Antigen 50ng
Red : Antigen 100ng

3 / 4
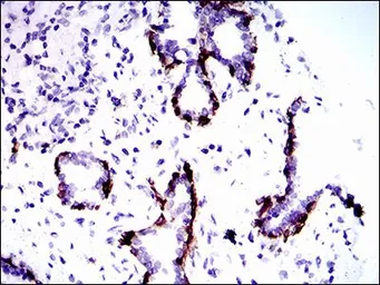
Anti-Cytokeratin 5 antibody [10C11E6] used in IHC (Paraffin sections) (IHC-P). GTX60722
GTX60722 IHC-P Image

IHC-P analysis of human prostate tissue using GTX60722 Cytokeratin 5 antibody [10C11E6].

4 / 4
Anti-Cytokeratin 5 antibody [10C11E6] used in Western Blot (WB). GTX60722
Anti-Cytokeratin 5 antibody [10C11E6] used in IHC (Paraffin sections) (IHC-P). GTX60722
Anti-Cytokeratin 5 antibody [10C11E6] used in ELISA (ELISA). GTX60722
Anti-Cytokeratin 5 antibody [10C11E6] used in IHC (Paraffin sections) (IHC-P). GTX60722
  • Host
    Mouse
  • Clonality
    Monoclonal
  • Clone Name
    10C11E6
  • Isotype
    IgG1
  • Applications
    WB IHC-P ELISA
  • Reactivity
    Human
See all Cytokeratin 5 products