Cytokeratin 5 antibody [AT12C4]

Cat. No. GTX57627
Cat. No.  GTX57627
Anti-Cytokeratin 5 antibody [AT12C4] used in IHC (Paraffin sections) (IHC-P). GTX57627
GTX57627 IHC-P Image

IHC-P analysis of human cervical cancer using GTX57627 Cytokeratin 5 antibody.
Antigen retrieval: 0.1M sodium citrate buffer
Dilution: 1:200

1 / 4
Anti-Cytokeratin 5 antibody [AT12C4] used in Western Blot (WB). GTX57627
GTX57627 WB Image

WB analysis of various samples using GTX57627 Cytokeratin 5 antibody.
Lane 1 : HeLa whole cell lysate
Lane 2 : A431 whole cell lysate
Loading : 40 μg
Dilution : 1:1000

2 / 4
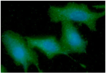
Anti-Cytokeratin 5 antibody [AT12C4] used in Immunocytochemistry/ Immunofluorescence (ICC/IF). GTX57627
GTX57627 ICC/IF Image

ICC/IF analysis of A549 cells using GTX57627 Cytokeratin 5 antibody.
Blue: DAPI
Green: Primary antibody
Dilution: 1:100

3 / 4
Anti-Cytokeratin 5 antibody [AT12C4] used in Flow cytometry (FCM). GTX57627
GTX57627 FCM Image

FACS analysis of HeLa cells using GTX57627 Cytokeratin 5 antibody.
Cell Number: 1 x 10⁶ cells
Red: Primary antibody
Antibody amount: 2-5 μg

4 / 4
Anti-Cytokeratin 5 antibody [AT12C4] used in IHC (Paraffin sections) (IHC-P). GTX57627
Anti-Cytokeratin 5 antibody [AT12C4] used in Western Blot (WB). GTX57627
Anti-Cytokeratin 5 antibody [AT12C4] used in Immunocytochemistry/ Immunofluorescence (ICC/IF). GTX57627
Anti-Cytokeratin 5 antibody [AT12C4] used in Flow cytometry (FCM). GTX57627
  • Host
    Mouse
  • Clonality
    Monoclonal
  • Clone Name
    AT12C4
  • Isotype
    IgG2a
  • Applications
    WB ICC/IF IHC-P FCM
  • Reactivity
    Human
See all Cytokeratin 5 products