Cytokeratin 7 antibody [N2C2], Internal

Cat. No. GTX110414
Cat. No.  GTX110414
Anti-Cytokeratin 7 antibody [N2C2], Internal used in Western Blot (WB). GTX110414
GTX110414 WB Image

Wild-type (WT) and Cytokeratin 7 knockout (KO) HeLa cell extracts (30 μg) were separated by 10% SDS-PAGE, and the membrane was blotted with Cytokeratin 7 antibody [N2C2], Internal (GTX110414) diluted at 1:50000. The HRP-conjugated anti-rabbit IgG antibody (GTX213110-01) was used to detect the primary antibody.

1 / 4
Anti-Cytokeratin 7 antibody [N2C2], Internal used in Western Blot (WB). GTX110414
GTX110414 WB Image

Various whole cell extracts (30 μg) were separated by 10% SDS-PAGE, and the membrane was blotted with Cytokeratin 7 antibody [N2C2], Internal (GTX110414) diluted at 1:10000. The HRP-conjugated anti-rabbit IgG antibody (GTX213110-01) was used to detect the primary antibody.

2 / 4
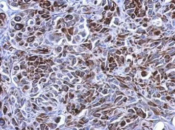
Anti-Cytokeratin 7 antibody [N2C2], Internal used in IHC (Paraffin sections) (IHC-P). GTX110414
GTX110414 IHC-P Image

Immunohistochemical analysis of paraffin-embedded SkHep1 xenograft, using Cytokeratin 7(GTX110414) antibody at 1:500 dilution.
Antigen Retrieval: Trilogy™ (EDTA based, pH 8.0) buffer, 15min

3 / 4
Anti-Cytokeratin 7 antibody [N2C2], Internal used in Immunocytochemistry/ Immunofluorescence (ICC/IF). GTX110414
GTX110414 ICC/IF Image

Immunofluorescence analysis of methanol-fixed HeLa, using Cytokeratin 7(GTX110414) antibody at 1:500 dilution.

4 / 4
Anti-Cytokeratin 7 antibody [N2C2], Internal used in Western Blot (WB). GTX110414
Anti-Cytokeratin 7 antibody [N2C2], Internal used in Western Blot (WB). GTX110414
Anti-Cytokeratin 7 antibody [N2C2], Internal used in IHC (Paraffin sections) (IHC-P). GTX110414
Anti-Cytokeratin 7 antibody [N2C2], Internal used in Immunocytochemistry/ Immunofluorescence (ICC/IF). GTX110414
  • Host
    Rabbit
  • Clonality
    Polyclonal
  • Isotype
    IgG
  • Applications
    WB ICC/IF IHC-P
  • Reactivity
    Human, Mouse
See all Cytokeratin 7 products