DCBLD2 antibody

Cat. No. GTX107215
Cat. No.  GTX107215
Anti-DCBLD2 antibody used in Western Blot (WB). GTX107215
GTX107215 WB Image

Sample (30 ug of whole cell lysate)
A: HeLa
B: HepG2
7.5% SDS PAGE
GTX107215 diluted at 1:1000

1 / 2
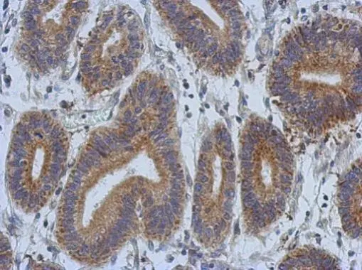
Anti-DCBLD2 antibody used in IHC (Paraffin sections) (IHC-P). GTX107215
GTX107215 IHC-P Image

Immunohistochemical analysis of paraffin-embedded human colon carcinoma, using DCBLD2(GTX107215) antibody at 1:500 dilution.
Antigen Retrieval: Trilogy™ (EDTA based, pH 8.0) buffer, 15min

2 / 2
Anti-DCBLD2 antibody used in Western Blot (WB). GTX107215
Anti-DCBLD2 antibody used in IHC (Paraffin sections) (IHC-P). GTX107215
  • Host
    Rabbit
  • Clonality
    Polyclonal
  • Isotype
    IgG
  • Applications
    WB IHC-P
  • Reactivity
    Human
See all DCBLD2 products