DCI antibody [N1C2]

Cat. No. GTX118478
Cat. No.  GTX118478
Anti-DCI antibody [N1C2] used in Western Blot (WB). GTX118478
GTX118478 WB Image

Sample (30 ug of whole cell lysate)
A: HepG2
12% SDS PAGE
GTX118478 diluted at 1:1000

1 / 2
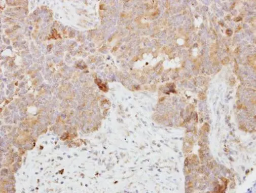
Anti-DCI antibody [N1C2] used in IHC (Paraffin sections) (IHC-P). GTX118478
GTX118478 IHC-P Image

Immunohistochemical analysis of paraffin-embedded human colon carcinoma, using DCI(GTX118478) antibody at 1:250 dilution.
Antigen Retrieval: Trilogy™ (EDTA based, pH 8.0) buffer, 15min

2 / 2
Anti-DCI antibody [N1C2] used in Western Blot (WB). GTX118478
Anti-DCI antibody [N1C2] used in IHC (Paraffin sections) (IHC-P). GTX118478
  • Host
    Rabbit
  • Clonality
    Polyclonal
  • Isotype
    IgG
  • Applications
    WB IHC-P
  • Reactivity
    Human
See all DCI products