DCUN1D4 antibody

Cat. No. GTX107380
Cat. No.  GTX107380
Anti-DCUN1D4 antibody used in Western Blot (WB). GTX107380
GTX107380 WB Image

Sample (30 ug of whole cell lysate)
A: U87-MG
12% SDS PAGE
GTX107380 diluted at 1:1000

1 / 3
Anti-DCUN1D4 antibody used in IHC (Paraffin sections) (IHC-P). GTX107380
GTX107380 IHC-P Image

Immunohistochemical analysis of paraffin-embedded mouse muscle, using DCUN1D4(GTX107380) antibody at 1:500 dilution.
Antigen Retrieval: Trilogy™ (EDTA based, pH 8.0) buffer, 15min

2 / 3
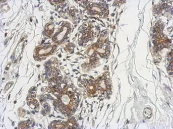
Anti-DCUN1D4 antibody used in IHC (Paraffin sections) (IHC-P). GTX107380
GTX107380 IHC-P Image

Immunohistochemical analysis of paraffin-embedded human breast cancer, using DCUN1D4(GTX107380) antibody at 1:500 dilution.
Antigen Retrieval: Trilogy™ (EDTA based, pH 8.0) buffer, 15min

3 / 3
Anti-DCUN1D4 antibody used in Western Blot (WB). GTX107380
Anti-DCUN1D4 antibody used in IHC (Paraffin sections) (IHC-P). GTX107380
Anti-DCUN1D4 antibody used in IHC (Paraffin sections) (IHC-P). GTX107380
  • Host
    Rabbit
  • Clonality
    Polyclonal
  • Isotype
    IgG
  • Applications
    WB IHC-P
  • Reactivity
    Human, Mouse
See all DCUN1D4 products