DDB2 antibody

Cat. No. GTX57218
Cat. No.  GTX57218
Anti-DDB2 antibody used in Western Blot (WB). GTX57218
GTX57218 WB Image

WB analysis of mouse liver tissue lysate using GTX57218 DDB2 antibody.
Dilution : 1:500

1 / 3
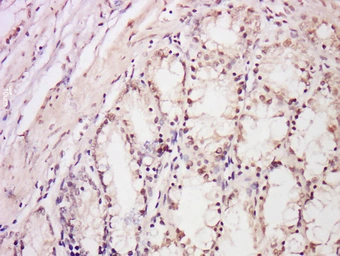
Anti-DDB2 antibody used in IHC (Paraffin sections) (IHC-P). GTX57218
GTX57218 IHC-P Image

IHC-P analysis of rat intestine tissue using GTX57218 DDB2 antibody.
Dilution : 1:300

2 / 3
Anti-DDB2 antibody used in Western Blot (WB). GTX57218
GTX57218 WB Image

WB analysis of SP2/0 cell lysate using GTX57218 DDB2 antibody.
Dilution : 1:500

3 / 3
Anti-DDB2 antibody used in Western Blot (WB). GTX57218
Anti-DDB2 antibody used in IHC (Paraffin sections) (IHC-P). GTX57218
Anti-DDB2 antibody used in Western Blot (WB). GTX57218
  • Host
    Rabbit
  • Clonality
    Polyclonal
  • Isotype
    IgG
  • Applications
    WB IHC-P
  • Reactivity
    Mouse, Rat
See all DDB2 products