DHRS4 antibody

Cat. No. GTX64973
Cat. No.  GTX64973
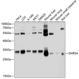
Anti-DHRS4 antibody used in Western Blot (WB). GTX64973
GTX64973 WB Image

WB analysis of various sample lysates using GTX64973 DHRS4 antibody.
Dilution : 1:1000
Loading : 25μg per lane

1 / 1
Anti-DHRS4 antibody used in Western Blot (WB). GTX64973
  • Host
    Rabbit
  • Clonality
    Polyclonal
  • Isotype
    IgG
  • Applications
    WB
  • Reactivity
    Human, Mouse, Rat
See all DHRS4 products