DHX9 antibody

Cat. No. GTX130971
Cat. No.  GTX130971
Anti-DHX9 antibody used in Western Blot (WB). GTX130971
GTX130971 WB Image

DHX9 antibody detects DHX9 protein by western blot analysis. HeLa whole cell extracts and nuclear extracts (30 μg) were separated by 5% SDS-PAGE, and the membrane was blotted with DHX9 antibody (GTX130971) diluted at 1:1000.

1 / 4
Anti-DHX9 antibody used in Immunocytochemistry/ Immunofluorescence (ICC/IF). GTX130971
GTX130971 ICC/IF Image

DHX9 antibody detects DHX9 protein at nucleus by immunofluorescent analysis.
Sample: HeLa cells were fixed in 4% paraformaldehyde at RT for 15 min.
Green: DHX9 protein stained by DHX9 antibody (GTX130971) diluted at 1:500.
Blue: Hoechst 33342 staining.
Scale bar = 10 μm.

2 / 4
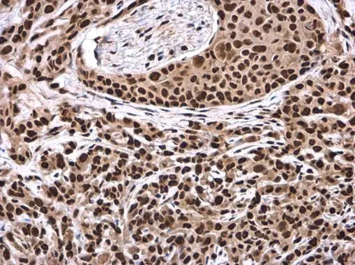
Anti-DHX9 antibody used in IHC (Paraffin sections) (IHC-P). GTX130971
GTX130971 IHC-P Image

DHX9 antibody detects DHX9 protein at cytoplasm and nucleus in A549 xenograft by immunohistochemical analysis.
Sample: Paraffin-embedded A549 xenograft.
DHX9 antibody (GTX130971) diluted at 1:500.

Antigen Retrieval: Citrate buffer, pH 6.0, 15 min

3 / 4
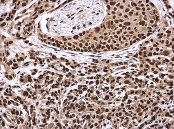
Anti-DHX9 antibody used in IHC (Paraffin sections) (IHC-P). GTX130971
GTX130971 IHC-P Image

DHX9 antibody detects DHX9 protein at cytoplasm and nucleus in CAL 27 xenograft by immunohistochemical analysis.
Sample: Paraffin-embedded CAL 27 xenograft.
DHX9 antibody (GTX130971) diluted at 1:500.

Antigen Retrieval: Citrate buffer, pH 6.0, 15 min

4 / 4
Anti-DHX9 antibody used in Western Blot (WB). GTX130971
Anti-DHX9 antibody used in Immunocytochemistry/ Immunofluorescence (ICC/IF). GTX130971
Anti-DHX9 antibody used in IHC (Paraffin sections) (IHC-P). GTX130971
Anti-DHX9 antibody used in IHC (Paraffin sections) (IHC-P). GTX130971
  • Host
    Rabbit
  • Clonality
    Polyclonal
  • Isotype
    IgG
  • Applications
    WB ICC/IF IHC-P
  • Reactivity
    Human
See all DHX9 products