DLK/MAP3K12 antibody [HL3423]

Cat. No. GTX641265
Cat. No.  GTX641265
Anti-DLK/MAP3K12 antibody [HL3423] used in Immunocytochemistry/ Immunofluorescence (ICC/IF). GTX641265
GTX641265 ICC/IF Image

DLK/MAP3K12 antibody [HL3423] detects DLK/MAP3K12 protein by immunofluorescent analysis.
Sample: Neuro2A cells were fixed in 4% paraformaldehyde at RT for 15 min.
Green: DLK/MAP3K12 stained by DLK/MAP3K12 antibody [HL3423] (GTX641265) diluted at 1:500.
Blue: Fluoroshield with DAPI (GTX30920).

1 / 7
Anti-DLK/MAP3K12 antibody [HL3423] used in IHC (Paraffin sections) (IHC-P). GTX641265
GTX641265 IHC-P Image

DLK/MAP3K12 antibody [HL3423] detects DLK/MAP3K12 protein by immunohistochemical analysis.
Sample: Paraffin-embedded rat tissues.
DLK/MAP3K12 stained by DLK/MAP3K12 antibody [HL3423] (GTX641265) diluted at 1:200.
Antigen Retrieval: Tris-EDTA buffer, pH 9.0, 15 min

2 / 7
Anti-DLK/MAP3K12 antibody [HL3423] used in IHC (Paraffin sections) (IHC-P). GTX641265
GTX641265 IHC-P Image

DLK/MAP3K12 antibody [HL3423] detects DLK/MAP3K12 protein by immunohistochemical analysis.
Sample: Paraffin-embedded mouse tissues.
DLK/MAP3K12 stained by DLK/MAP3K12 antibody [HL3423] (GTX641265) diluted at 1:200.
Antigen Retrieval: Tris-EDTA buffer, pH 9.0, 15 min

3 / 7
Anti-DLK/MAP3K12 antibody [HL3423] used in IHC (Paraffin sections) (IHC-P). GTX641265
GTX641265 IHC-P Image

DLK/MAP3K12 antibody [HL3423] detects DLK/MAP3K12 protein by immunohistochemical analysis.
Sample: Paraffin-embedded mouse hippocampus.
Green: DLK/MAP3K12 stained by DLK/MAP3K12 antibody [HL3423] (GTX641265) diluted at 1:200.
Red: NF-H antibody [GT114] (GTX634289) diluted at 1:500.
Blue: Hoechst 33342 staining.
Antigen Retrieval: Tris-EDTA buffer, pH 9.0, 15 min

4 / 7
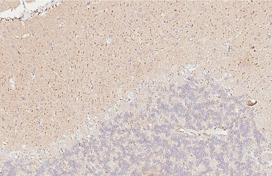
Anti-DLK/MAP3K12 antibody [HL3423] used in IHC (Paraffin sections) (IHC-P). GTX641265
GTX641265 IHC-P Image

DLK/MAP3K12 antibody [HL3423] detects DLK/MAP3K12 protein by immunohistochemical analysis.
Sample: Paraffin-embedded rat cerebellum.
DLK/MAP3K12 stained by DLK/MAP3K12 antibody [HL3423] (GTX641265) diluted at 1:100.
Antigen Retrieval: Tris-EDTA buffer, pH 9.0, 15 min

5 / 7
Anti-DLK/MAP3K12 antibody [HL3423] used in IHC (Paraffin sections) (IHC-P). GTX641265
GTX641265 IHC-P Image

DLK/MAP3K12 antibody [HL3423] detects DLK/MAP3K12 protein by immunohistochemical analysis.
Sample: Paraffin-embedded rat hippocampus.
DLK/MAP3K12 stained by DLK/MAP3K12 antibody [HL3423] (GTX641265) diluted at 1:100.
Antigen Retrieval: Tris-EDTA buffer, pH 9.0, 15 min

6 / 7
Anti-DLK/MAP3K12 antibody [HL3423] used in Western Blot (WB). GTX641265
GTX641265 WB Image

Various tissue extracts (50 μg) were separated by 7.5% SDS-PAGE, and the membrane was blotted with DLK/MAP3K12 antibody [HL3423] (GTX641265) diluted at 1:1000. The HRP-conjugated anti-rabbit IgG antibody (GTX213110-01) was used to detect the primary antibody.

7 / 7
Anti-DLK/MAP3K12 antibody [HL3423] used in Immunocytochemistry/ Immunofluorescence (ICC/IF). GTX641265
Anti-DLK/MAP3K12 antibody [HL3423] used in IHC (Paraffin sections) (IHC-P). GTX641265
Anti-DLK/MAP3K12 antibody [HL3423] used in IHC (Paraffin sections) (IHC-P). GTX641265
Anti-DLK/MAP3K12 antibody [HL3423] used in IHC (Paraffin sections) (IHC-P). GTX641265
Anti-DLK/MAP3K12 antibody [HL3423] used in IHC (Paraffin sections) (IHC-P). GTX641265
Anti-DLK/MAP3K12 antibody [HL3423] used in IHC (Paraffin sections) (IHC-P). GTX641265
Anti-DLK/MAP3K12 antibody [HL3423] used in Western Blot (WB). GTX641265
  • Host
    Rabbit
  • Clonality
    Monoclonal
  • Clone Name
    HL3423
  • Isotype
    IgG
  • Applications
    WB ICC/IF IHC-P
  • Reactivity
    Mouse, Rat
See all DLK/MAP3K12 products