DNA polymerase beta antibody [GT1251]

Cat. No. GTX02848
Cat. No.  GTX02848
Anti-DNA polymerase beta antibody [GT1251] used in Western Blot (WB). GTX02848
GTX02848 WB Image

Various whole cell extracts (30 μg) were separated by 10% SDS-PAGE, and the membrane was blotted with DNA polymerase beta antibody [GT1251] (GTX02848) diluted at 1:1000. The HRP-conjugated anti-rabbit IgG antibody (GTX213110-01) was used to detect the primary antibody. Corresponding RNA expression data for the same cell lines are based on Human Protein Atlas program.

1 / 6
Anti-DNA polymerase beta antibody [GT1251] used in Western Blot (WB). GTX02848
GTX02848 WB Image

Various whole cell extracts (30 μg) were separated by 10% SDS-PAGE, and the membrane was blotted with DNA polymerase beta antibody [GT1251] (GTX02848) diluted at 1:1000. The HRP-conjugated anti-rabbit IgG antibody (GTX213110-01) was used to detect the primary antibody.

2 / 6
Anti-DNA polymerase beta antibody [GT1251] used in Western Blot (WB). GTX02848
GTX02848 WB Image

Various whole cell extracts (30 μg) were separated by 10% SDS-PAGE, and the membrane was blotted with DNA polymerase beta antibody [GT1251] (GTX02848) diluted at 1:1000. The HRP-conjugated anti-rabbit IgG antibody (GTX213110-01) was used to detect the primary antibody.

3 / 6
Anti-DNA polymerase beta antibody [GT1251] used in Western Blot (WB). GTX02848
GTX02848 WB Image

WB analysis of various samples using GTX02848 DNA polymerase beta antibody [GT1251].
Dilution : 1:1000
Loading : 25μg

4 / 6
Anti-DNA polymerase beta antibody [GT1251] used in IHC (Paraffin sections) (IHC-P). GTX02848
GTX02848 IHC-P Image

IHC-P analysis of rat testis tissue section using GTX02848 DNA polymerase beta antibody [GT1251].
Dilution : 1:100

5 / 6
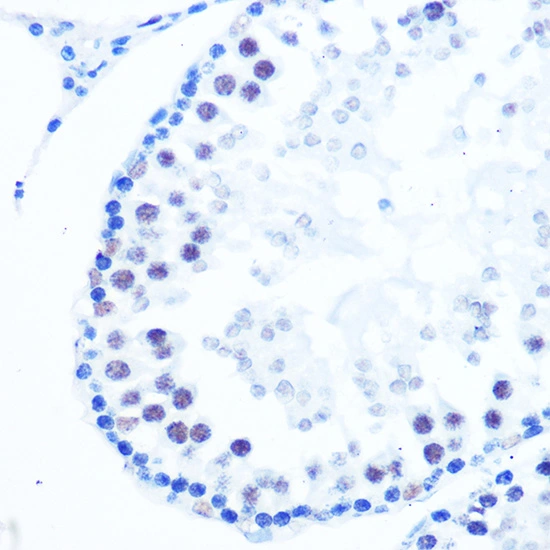
Anti-DNA polymerase beta antibody [GT1251] used in IHC (Paraffin sections) (IHC-P). GTX02848
GTX02848 IHC-P Image

IHC-P analysis of mouse testis tissue section using GTX02848 DNA polymerase beta antibody [GT1251].
Dilution : 1:100

6 / 6
Anti-DNA polymerase beta antibody [GT1251] used in Western Blot (WB). GTX02848
Anti-DNA polymerase beta antibody [GT1251] used in Western Blot (WB). GTX02848
Anti-DNA polymerase beta antibody [GT1251] used in Western Blot (WB). GTX02848
Anti-DNA polymerase beta antibody [GT1251] used in Western Blot (WB). GTX02848
Anti-DNA polymerase beta antibody [GT1251] used in IHC (Paraffin sections) (IHC-P). GTX02848
Anti-DNA polymerase beta antibody [GT1251] used in IHC (Paraffin sections) (IHC-P). GTX02848
  • Host
    Rabbit
  • Clonality
    Monoclonal
  • Clone Name
    GT1251
  • Isotype
    IgG
  • Applications
    WB IHC-P
  • Reactivity
    Human, Mouse, Rat
See all DNA polymerase beta products