DNAL4 antibody

Cat. No. GTX86991
Cat. No.  GTX86991
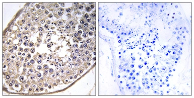
Anti-DNAL4 antibody used in IHC (Paraffin sections) (IHC-P). GTX86991
GTX86991 IHC-P Image

IHC-P analysis of human testis tissue using GTX86991 DNAL4 antibody. The picture on the right is blocked with the synthesized peptide.

1 / 1
Anti-DNAL4 antibody used in IHC (Paraffin sections) (IHC-P). GTX86991
  • Host
    Rabbit
  • Clonality
    Polyclonal
  • Isotype
    IgG
  • Applications
    IHC-P
  • Reactivity
    Human
See all DNAL4 products