DNMT1 antibody [N1], N-term

Cat. No. GTX116011
Cat. No.  GTX116011
Anti-DNMT1 antibody [N1], N-term used in Western Blot (WB). GTX116011
GTX116011 WB Image

Wild-type (WT) and DNMT1 knockout (KO) 293T cell extracts (30 μg) were separated by 5% SDS-PAGE, and the membrane was blotted with DNMT1 antibody [N1], N-term (GTX116011) diluted at 1:5000. The HRP-conjugated anti-rabbit IgG antibody (GTX213110-01) was used to detect the primary antibody.

1 / 15
Anti-DNMT1 antibody [N1], N-term used in ChIP assay (ChIP assay). GTX116011
GTX116011 ChIP assay Image

Cross-linked ChIP was performed with HCT116 chromatin extract and 5 μg of either control rabbit IgG or anti-DNMT1 antibody. The precipitated DNA was detected by PCR with primer set targeting to ILIR2.

2 / 15
Anti-DNMT1 antibody [N1], N-term used in Immunocytochemistry/ Immunofluorescence (ICC/IF). GTX116011
GTX116011 ICC/IF Image

DNMT1 antibody [N1], N-term detects DNMT1 protein at nucleus by immunofluorescent analysis.
Sample: HeLa cells were fixed in 4% paraformaldehyde at RT for 15 min.
Green: DNMT1 protein stained by DNMT1 antibody [N1], N-term (GTX116011) diluted at 1:2000.
Red: phalloidin, a cytoskeleton marker, diluted at 1:100.

3 / 15
Anti-DNMT1 antibody [N1], N-term used in Immunoprecipitation (IP). GTX116011
GTX116011 IP Image

DNMT1 antibody [N1], N-term immunoprecipitates DNMT1 protein in IP experiments.
IP samples: HeLa nuclear extract
A. Control with 4 μg of preimmune Rabbit IgG
B. Immunoprecipitation of DNMT1 protein by 4 μg DNMT1 antibody [N1], N-term (GTX116011)
5 % SDS-PAGE
The immunoprecipitated DNMT1 protein was detected by DNMT1 antibody [N1], N-term (GTX116011) diluted at 1:1000.
[EasyBlot anti-rabbit IgG (GTX221666-01) was used as a secondary reagent]

4 / 15
Anti-DNMT1 antibody [N1], N-term used in Western Blot (WB). GTX116011
GTX116011 WB Image

Various whole cell extracts (30 μg) were separated by 5% SDS-PAGE, and the membrane was blotted with DNMT1 antibody [N1], N-term (GTX116011) diluted at 1:5000. The HRP-conjugated anti-rabbit IgG antibody (GTX213110-01) was used to detect the primary antibody.

5 / 15
Anti-DNMT1 antibody [N1], N-term used in IHC (Paraffin sections) (IHC-P). GTX116011
GTX116011 IHC-P Image

DNMT1 antibody [N1], N-term detects DNMT1 protein at cytoplasm by immunohistochemical analysis.
Sample: Paraffin-embedded mouse testis.
DNMT1 stained by DNMT1 antibody [N1], N-term (GTX116011) diluted at 1:500.
Antigen Retrieval: Citrate buffer, pH 6.0, 15 min

6 / 15
Anti-DNMT1 antibody [N1], N-term used in IHC (Paraffin sections) (IHC-P). GTX116011
GTX116011 IHC-P Image

DNMT1 antibody [N1], N-term detects DNMT1 protein at nucleus by immunohistochemical analysis.
Sample: Paraffin-embedded human tonsil.
DNMT1 stained by DNMT1 antibody [N1], N-term (GTX116011) diluted at 1:500.
Antigen Retrieval: Citrate buffer, pH 6.0, 15 min

7 / 15
Anti-DNMT1 antibody [N1], N-term used in IHC (Paraffin sections) (IHC-P). GTX116011
GTX116011 IHC-P Image

DNMT1 antibody [N1], N-term detects DNMT1 protein at cytoplasm and nucleus in human endometrial cancer by immunohistochemical analysis.
Sample: Paraffin-embedded human endometrial cancer.
DNMT1 antibody [N1], N-term (GTX116011) diluted at 1:500.

Antigen Retrieval: Citrate buffer, pH 6.0, 15 min

8 / 15
Anti-DNMT1 antibody [N1], N-term used in Western Blot (WB). GTX116011
GTX116011 WB Image

Various whole cell extracts (30 μg) were separated by 5% SDS-PAGE, and the membrane was blotted with DNMT1 antibody [N1], N-term (GTX116011) diluted at 1:5000.

9 / 15
Anti-DNMT1 antibody [N1], N-term used in Western Blot (WB). GTX116011
GTX116011 WB Image

The data was published in the journal Oncotarget in 2018. PMID: 29416619

10 / 15
Anti-DNMT1 antibody [N1], N-term used in Western Blot (WB). GTX116011
GTX116011 WB Image

The data was published in the journal Oncotarget in 2018. PMID: 29416619

11 / 15
Anti-DNMT1 antibody [N1], N-term used in Western Blot (WB). GTX116011
GTX116011 WB Image

The data was published in the journal PLoS One in 2015. PMID: 25928539

12 / 15
Anti-DNMT1 antibody [N1], N-term used in Western Blot (WB). GTX116011
GTX116011 WB Image

The data was published in the journal Sci Rep in 2016. PMID: 27344963

13 / 15
Anti-DNMT1 antibody [N1], N-term used in IHC (Paraffin sections) (IHC-P). GTX116011
GTX116011 IHC-P Image

The data was published in the journal Diagn Pathol in 2012. PMID: 22455563

14 / 15
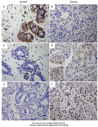
Anti-DNMT1 antibody [N1], N-term used in IHC (Paraffin sections) (IHC-P). GTX116011
GTX116011 IHC-P Image

The data was published in the journal Diagn Pathol in 2012. PMID: 22455563

15 / 15
Anti-DNMT1 antibody [N1], N-term used in Western Blot (WB). GTX116011
Anti-DNMT1 antibody [N1], N-term used in ChIP assay (ChIP assay). GTX116011
Anti-DNMT1 antibody [N1], N-term used in Immunocytochemistry/ Immunofluorescence (ICC/IF). GTX116011
Anti-DNMT1 antibody [N1], N-term used in Immunoprecipitation (IP). GTX116011
Anti-DNMT1 antibody [N1], N-term used in Western Blot (WB). GTX116011
Anti-DNMT1 antibody [N1], N-term used in IHC (Paraffin sections) (IHC-P). GTX116011
Anti-DNMT1 antibody [N1], N-term used in IHC (Paraffin sections) (IHC-P). GTX116011
Anti-DNMT1 antibody [N1], N-term used in IHC (Paraffin sections) (IHC-P). GTX116011
Anti-DNMT1 antibody [N1], N-term used in Western Blot (WB). GTX116011
Anti-DNMT1 antibody [N1], N-term used in Western Blot (WB). GTX116011
Anti-DNMT1 antibody [N1], N-term used in Western Blot (WB). GTX116011
Anti-DNMT1 antibody [N1], N-term used in Western Blot (WB). GTX116011
Anti-DNMT1 antibody [N1], N-term used in Western Blot (WB). GTX116011
Anti-DNMT1 antibody [N1], N-term used in IHC (Paraffin sections) (IHC-P). GTX116011
Anti-DNMT1 antibody [N1], N-term used in IHC (Paraffin sections) (IHC-P). GTX116011
  • Host
    Rabbit
  • Clonality
    Polyclonal
  • Isotype
    IgG
  • Applications
    WB ICC/IF IHC-P IP ChIP assay
  • Reactivity
    Human, Mouse
See all DNMT1 products