DNMT3B antibody

Cat. No. GTX22851
Cat. No.  GTX22851
Anti-DNMT3B antibody used in Western Blot (WB). GTX22851
GTX22851 WB Image

WB analysis of 25 ug of Hela cell lysates using GTX22851 DNMT3B antibody.
Dilution : 1:1000

1 / 4
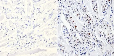
Anti-DNMT3B antibody used in IHC (Paraffin sections) (IHC-P). GTX22851
GTX22851 IHC-P Image

IHC-P analysis of human breast carcinoma tissue using GTX22851 DNMT3B antibody.
Right : Primary antibody
Left : Negative control without primary antibody
Antigen retrieval : 10mM sodium citrate (pH 6.0) microwaved for 8-15 min
Dilution : 1:500

2 / 4
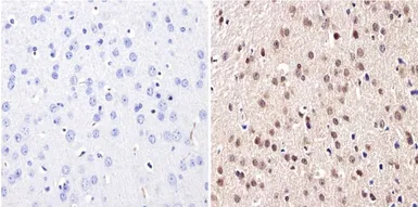
Anti-DNMT3B antibody used in IHC (Paraffin sections) (IHC-P). GTX22851
GTX22851 IHC-P Image

IHC-P analysis of mouse brain tissue using GTX22851 DNMT3B antibody.
Right : Primary antibody
Left : Negative control without primary antibody
Antigen retrieval : 10mM sodium citrate (pH 6.0) microwaved for 8-15 min
Dilution : 1:200

3 / 4
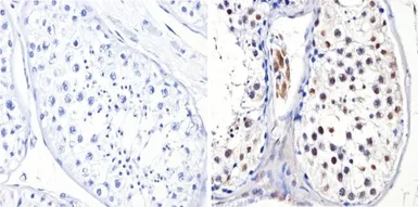
Anti-DNMT3B antibody used in IHC (Paraffin sections) (IHC-P). GTX22851
GTX22851 IHC-P Image

IHC-P analysis of human testis tissue using GTX22851 DNMT3B antibody.
Right : Primary antibody
Left : Negative control without primary antibody
Antigen retrieval : 10mM sodium citrate (pH 6.0) microwaved for 8-15 min
Dilution : 1:500

4 / 4
Anti-DNMT3B antibody used in Western Blot (WB). GTX22851
Anti-DNMT3B antibody used in IHC (Paraffin sections) (IHC-P). GTX22851
Anti-DNMT3B antibody used in IHC (Paraffin sections) (IHC-P). GTX22851
Anti-DNMT3B antibody used in IHC (Paraffin sections) (IHC-P). GTX22851
  • Host
    Rabbit
  • Clonality
    Polyclonal
  • Isotype
    IgG
  • Applications
    WB IHC-P
  • Reactivity
    Human, Mouse
See all DNMT3B products