DRP1 antibody

Cat. No. GTX05148
Cat. No.  GTX05148
Anti-DRP1 antibody used in Western Blot (WB). GTX05148
GTX05148 WB Image

WB analysis of 293 whole cell lysate using GTX05148 DRP1 antibody. The lane on the left was treated with blocking peptide.

1 / 7
Anti-DRP1 antibody used in Western Blot (WB). GTX05148
GTX05148 WB Image

WB analysis of mouse lung tissue lysate using GTX05148 DRP1 antibody. The lane on the left was treated with blocking peptide.

2 / 7
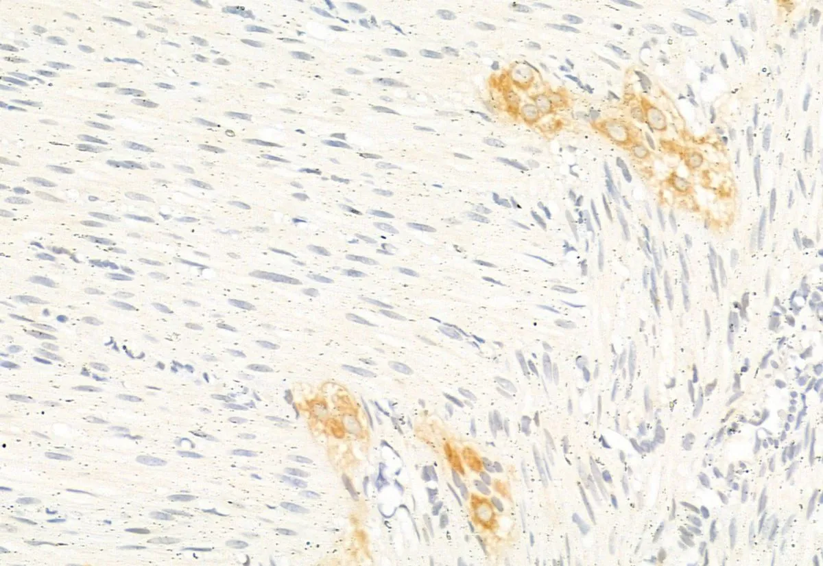
Anti-DRP1 antibody used in IHC (Paraffin sections) (IHC-P). GTX05148
GTX05148 IHC-P Image

IHC-P analysis of rat stomach tissue using GTX05148 DRP1 antibody.
Antigen retrieval : Heat mediated antigen retrieval performed with citrate buffer
Dilution : 1:100

3 / 7
Anti-DRP1 antibody used in Immunocytochemistry/ Immunofluorescence (ICC/IF). GTX05148
GTX05148 ICC/IF Image

ICC/IF analysis of PFA-fixed HeLa cells using GTX05148 DRP1 antibody.
Red : Primary antibody
Green : beta tubulin
Blue : DAPI
Dilution : 1:200
Permeabilization : 0.1% Triton X-100

4 / 7
Anti-DRP1 antibody used in IHC (Paraffin sections) (IHC-P). GTX05148
GTX05148 IHC-P Image

IHC-P analysis of rat kidney tissue using GTX05148 DRP1 antibody.
Antigen retrieval : Heat mediated antigen retrieval performed with citrate buffer
Dilution : 1:100

5 / 7
Anti-DRP1 antibody used in Western Blot (WB). GTX05148
GTX05148 WB Image

WB analysis of mouse brain tissue lysate using GTX05148 DRP1 antibody. The lane on the left was treated with blocking peptide.

6 / 7
Anti-DRP1 antibody used in IHC (Paraffin sections) (IHC-P). GTX05148
GTX05148 IHC-P Image

IHC-P analysis of rat spleen tissue using GTX05148 DRP1 antibody.
Antigen retrieval : Heat mediated antigen retrieval performed with citrate buffer
Dilution : 1:100

7 / 7
Anti-DRP1 antibody used in Western Blot (WB). GTX05148
Anti-DRP1 antibody used in Western Blot (WB). GTX05148
Anti-DRP1 antibody used in IHC (Paraffin sections) (IHC-P). GTX05148
Anti-DRP1 antibody used in Immunocytochemistry/ Immunofluorescence (ICC/IF). GTX05148
Anti-DRP1 antibody used in IHC (Paraffin sections) (IHC-P). GTX05148
Anti-DRP1 antibody used in Western Blot (WB). GTX05148
Anti-DRP1 antibody used in IHC (Paraffin sections) (IHC-P). GTX05148
  • Host
    Rabbit
  • Clonality
    Polyclonal
  • Isotype
    IgG
  • Applications
    WB ICC/IF IHC-P
  • Reactivity
    Human, Mouse, Rat
See all DRP1 products