DRP1 (phospho Ser616) antibody

Cat. No. GTX05115
Cat. No.  GTX05115
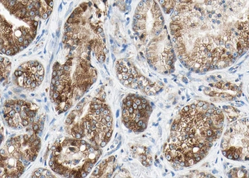
Anti-DRP1 (phospho Ser616) antibody used in IHC (Paraffin sections) (IHC-P). GTX05115
GTX05115 IHC-P Image

IHC-P analysis of human prostate carcinoma tissue using GTX05115 DRP1 (phospho Ser616) antibody.
Antigen retrieval : Heat mediated antigen retrieval performed with citrate buffer
Dilution : 1:100

1 / 7
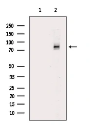
Anti-DRP1 (phospho Ser616) antibody used in Western Blot (WB). GTX05115
GTX05115 WB Image

WB analysis of mouse brain tissue lysate using GTX05115 DRP1 (phospho Ser616) antibody. The lane on the left was treated with blocking peptide.

2 / 7
Anti-DRP1 (phospho Ser616) antibody used in Immunocytochemistry/ Immunofluorescence (ICC/IF). GTX05115
GTX05115 ICC/IF Image

ICC/IF analysis of PFA-fixed NCI-H1299 cells using GTX05115 DRP1 (phospho Ser616) antibody.
Red : Primary antibody
Dilution : 1:200
Permeabilization : 0.1% Saponin

3 / 7
Anti-DRP1 (phospho Ser616) antibody used in  (). GTX05115
GTX05115 Image

ELISA analysis of phospho- and non phosho- immunogen peptide using serial diluted GTX05115 DRP1 (phospho Ser616) antibody.
P-peptide : phospho-peptide
N-peptide : non-phospho-peptide
Peptides concentration : 1 μg/mL

4 / 7
Anti-DRP1 (phospho Ser616) antibody used in Western Blot (WB). GTX05115
GTX05115 WB Image

WB analysis of H₂O₂ treated HepG2 cell lysate using GTX05115 DRP1 (phospho Ser616) antibody. The lane on the left was treated with blocking peptide.

5 / 7
Anti-DRP1 (phospho Ser616) antibody used in Western Blot (WB). GTX05115
GTX05115 WB Image

WB analysis of heat-shock treated EC304 whole cell lysate using GTX05115 DRP1 (phospho Ser616) antibody.
Dilution : 1:1000

6 / 7
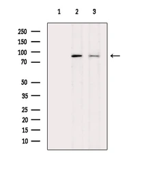
Anti-DRP1 (phospho Ser616) antibody used in Western Blot (WB). GTX05115
GTX05115 WB Image

WB analysis of various samples using GTX05115 DRP1 (phospho Ser616) antibody.
Lane 1 : HeLa whole cell lysate treated with blocking peptide
Lane 2 : HeLa whole cell lysate
Lane 3 : A549 whole cell lysate

7 / 7
Anti-DRP1 (phospho Ser616) antibody used in IHC (Paraffin sections) (IHC-P). GTX05115
Anti-DRP1 (phospho Ser616) antibody used in Western Blot (WB). GTX05115
Anti-DRP1 (phospho Ser616) antibody used in Immunocytochemistry/ Immunofluorescence (ICC/IF). GTX05115
Anti-DRP1 (phospho Ser616) antibody used in  (). GTX05115
Anti-DRP1 (phospho Ser616) antibody used in Western Blot (WB). GTX05115
Anti-DRP1 (phospho Ser616) antibody used in Western Blot (WB). GTX05115
Anti-DRP1 (phospho Ser616) antibody used in Western Blot (WB). GTX05115
  • Host
    Rabbit
  • Clonality
    Polyclonal
  • Isotype
    IgG
  • Applications
    WB ICC/IF IHC-P
  • Reactivity
    Human, Mouse, Rat
See all DRP1 products