DSPP antibody

Cat. No. GTX134428
Cat. No.  GTX134428
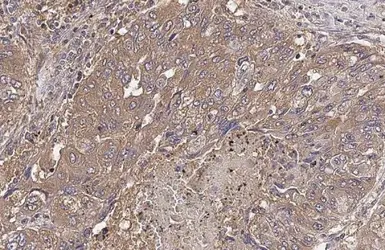
Anti-DSPP antibody used in IHC (Paraffin sections) (IHC-P). GTX134428
GTX134428 IHC-P Image

DSPP antibody detects secreted DSPP protein by immunohistochemical analysis.
Sample: Paraffin-embedded human hepatocellular carcinoma.
DSPP stained by DSPP antibody (GTX134428) diluted at 1:500.
Antigen Retrieval: Citrate buffer, pH 6.0, 15 min

1 / 3
Anti-DSPP antibody used in IHC (Paraffin sections) (IHC-P). GTX134428
GTX134428 IHC-P Image

DSPP antibody detects secreted DSPP protein by immunohistochemical analysis.
Sample: Paraffin-embedded human breast carcinoma.
DSPP stained by DSPP antibody (GTX134428) diluted at 1:500.
Antigen Retrieval: Citrate buffer, pH 6.0, 15 min

2 / 3
Anti-DSPP antibody used in Western Blot (WB). GTX134428
GTX134428 WB Image

Whole cell extract (30 μg) was separated by 5% SDS-PAGE, and the membrane was blotted with DSPP antibody (GTX134428) diluted at 1:500. The HRP-conjugated anti-rabbit IgG antibody (GTX213110-01) was used to detect the primary antibody, and the signal was developed with Trident femto Western HRP Substrate.

3 / 3
Anti-DSPP antibody used in IHC (Paraffin sections) (IHC-P). GTX134428
Anti-DSPP antibody used in IHC (Paraffin sections) (IHC-P). GTX134428
Anti-DSPP antibody used in Western Blot (WB). GTX134428
  • Host
    Rabbit
  • Clonality
    Polyclonal
  • Isotype
    IgG
  • Applications
    WB IHC-P
  • Reactivity
    Human
See all DSPP products