Defensin alpha 5 antibody

Cat. No. GTX05178
Cat. No.  GTX05178
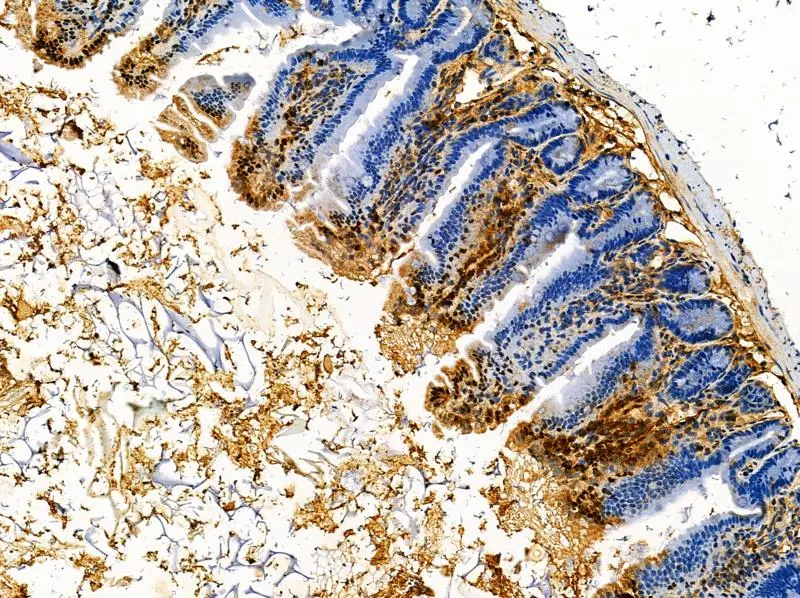
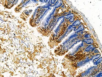
Anti-Defensin alpha 5 antibody used in IHC (Paraffin sections) (IHC-P). GTX05178
GTX05178 IHC-P Image

IHC-P analysis of mouse colorectal tissue using GTX05178 Defensin alpha 5 antibody.
Antigen retrieval : Heat mediated antigen retrieval performed with Citrate Buffer.
Dilution : 1:100

1 / 2
Anti-Defensin alpha 5 antibody used in Immunocytochemistry/ Immunofluorescence (ICC/IF). GTX05178
GTX05178 ICC/IF Image

ICC/IF analysis of PFA-fixed A549 cells using GTX05178 Defensin alpha 5 antibody.
Red : Primary antibody
Green : beta tubulin
Blue: DAPI
Permeabilization : 0.1% Triton X-100

2 / 2
Anti-Defensin alpha 5 antibody used in IHC (Paraffin sections) (IHC-P). GTX05178
Anti-Defensin alpha 5 antibody used in Immunocytochemistry/ Immunofluorescence (ICC/IF). GTX05178
  • Host
    Rabbit
  • Clonality
    Polyclonal
  • Isotype
    IgG
  • Applications
    ICC/IF IHC-P
  • Reactivity
    Human, Mouse
See all Defensin alpha 5 products