Diablo antibody [SMAC 17 1-87]

Cat. No. GTX15827
Cat. No.  GTX15827
Anti-Diablo antibody [SMAC 17 1-87] used in Immunocytochemistry/ Immunofluorescence (ICC/IF). GTX15827
GTX15827 ICC/IF Image

ICC/IF analysis of PC-12 cells using GTX15827 Diablo antibody [SMAC 17 1-87]. Cells were probed without (left) or with(right) an antibody.
Green : Primary antibody
Blue : Nuclei
Red : Actin
Fixation : Formalin
Permeabilization : 0.1% Triton X-100 in TBS for 5-10 minute
Dilution : 1:100 incubated overnight at 4 ºC

1 / 7
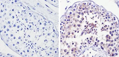
Anti-Diablo antibody [SMAC 17 1-87] used in IHC (Paraffin sections) (IHC-P). GTX15827
GTX15827 IHC-P Image

IHC-P analysis of mouse testis tissue using GTX15827 Diablo antibody [SMAC 17 1-87].
Right : Primary antibody
Left : Negative control without primary antibody
Antigen retrieval : 10mM sodium citrate (pH 6.0), microwaved for 8-15 min
Dilution : 1:100

2 / 7
Anti-Diablo antibody [SMAC 17 1-87] used in IHC (Paraffin sections) (IHC-P). GTX15827
GTX15827 IHC-P Image

IHC-P analysis of human testis tissue using GTX15827 Diablo antibody [SMAC 17 1-87].
Right : Primary antibody
Left : Negative control without primary antibody
Antigen retrieval : 10mM sodium citrate (pH 6.0), microwaved for 8-15 min
Dilution : 1:100

3 / 7
Anti-Diablo antibody [SMAC 17 1-87] used in Immunocytochemistry/ Immunofluorescence (ICC/IF). GTX15827
GTX15827 ICC/IF Image

ICC/IF analysis of A431 cells using GTX15827 Diablo antibody [SMAC 17 1-87]. Cells were probed without (left) or with(right) an antibody.
Green : Primary antibody
Blue : Nuclei
Red : Actin
Fixation : Formalin
Permeabilization : 0.1% Triton X-100 in TBS for 5-10 minute
Dilution : 1:100 incubated overnight at 4 ºC

4 / 7
Anti-Diablo antibody [SMAC 17 1-87] used in Immunocytochemistry/ Immunofluorescence (ICC/IF). GTX15827
GTX15827 ICC/IF Image

ICC/IF analysis of MCF-7 cells using GTX15827 Diablo antibody [SMAC 17 1-87]. Cells were probed without (left) or with(right) an antibody.
Green : Primary antibody
Blue : Nuclei
Red : Actin
Fixation : Formalin
Permeabilization : 0.1% Triton X-100 in TBS for 5-10 minute
Dilution : 1:100 incubated overnight at 4 ºC

5 / 7
Anti-Diablo antibody [SMAC 17 1-87] used in IHC (Paraffin sections) (IHC-P). GTX15827
GTX15827 IHC-P Image

IHC-P analysis of human colon carcinoma tissue using GTX15827 Diablo antibody [SMAC 17 1-87].
Right : Primary antibody
Left : Negative control without primary antibody
Antigen retrieval : 10mM sodium citrate (pH 6.0), microwaved for 8-15 min
Dilution : 1:100

6 / 7
Anti-Diablo antibody [SMAC 17 1-87] used in Western Blot (WB). GTX15827
GTX15827 WB Image

WB analysis of 25 ug of 293 (Lane 1), Hela (Lane 2), and PC12 cell lysates (Lane 3) using GTX15827 Diablo antibody [SMAC 17 1-87].
Dilution : 1:1000

7 / 7
Anti-Diablo antibody [SMAC 17 1-87] used in Immunocytochemistry/ Immunofluorescence (ICC/IF). GTX15827
Anti-Diablo antibody [SMAC 17 1-87] used in IHC (Paraffin sections) (IHC-P). GTX15827
Anti-Diablo antibody [SMAC 17 1-87] used in IHC (Paraffin sections) (IHC-P). GTX15827
Anti-Diablo antibody [SMAC 17 1-87] used in Immunocytochemistry/ Immunofluorescence (ICC/IF). GTX15827
Anti-Diablo antibody [SMAC 17 1-87] used in Immunocytochemistry/ Immunofluorescence (ICC/IF). GTX15827
Anti-Diablo antibody [SMAC 17 1-87] used in IHC (Paraffin sections) (IHC-P). GTX15827
Anti-Diablo antibody [SMAC 17 1-87] used in Western Blot (WB). GTX15827
  • Host
    Mouse
  • Clonality
    Monoclonal
  • Clone Name
    SMAC 17 1-87
  • Isotype
    IgG1
  • Applications
    WB ICC/IF IHC-P IP
  • Reactivity
    Human, Mouse, Rat
See all Diablo products