Diablo antibody

Cat. No. GTX64409
Cat. No.  GTX64409
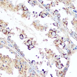
Anti-Diablo antibody used in IHC (Paraffin sections) (IHC-P). GTX64409
GTX64409 IHC-P Image

IHC-P analysis of mouse testis tissue using GTX64409 Diablo antibody.
Dilution : 1:100

1 / 3
Anti-Diablo antibody used in Western Blot (WB). GTX64409
GTX64409 WB Image

WB analysis of various sample lysates using GTX64409 Diablo antibody.
Dilution : 1:1000
Loading : 25μg per lane

2 / 3
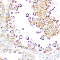
Anti-Diablo antibody used in IHC (Paraffin sections) (IHC-P). GTX64409
GTX64409 IHC-P Image

IHC-P analysis of rat testis tissue using GTX64409 Diablo antibody.
Dilution : 1:100

3 / 3
Anti-Diablo antibody used in IHC (Paraffin sections) (IHC-P). GTX64409
Anti-Diablo antibody used in Western Blot (WB). GTX64409
Anti-Diablo antibody used in IHC (Paraffin sections) (IHC-P). GTX64409
  • Host
    Rabbit
  • Clonality
    Polyclonal
  • Isotype
    IgG
  • Applications
    WB IHC-P
  • Reactivity
    Human, Mouse, Rat
See all Diablo products