Dispatched A antibody

Cat. No. GTX31465
Cat. No.  GTX31465
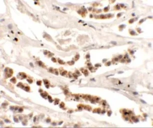
Anti-Dispatched A antibody used in IHC (Paraffin sections) (IHC-P). GTX31465
GTX31465 IHC-P Image

IHC-P analysis of human kidney tissue using GTX31465 Dispatched A antibody.
Working concentration : 20 μg/ml

1 / 3
Anti-Dispatched A antibody used in Western Blot (WB). GTX31465
GTX31465 WB Image

WB analysis of 3T3 cell lysate using GTX31465 Dispatched A antibody.
Working concentration : 1 μg/ml

2 / 3
Anti-Dispatched A antibody used in IHC (Paraffin sections) (IHC-P). GTX31465
GTX31465 IHC-P Image

IHC-P analysis of human kidney tissue using GTX31465 Dispatched A antibody.
Working concentration : 2.5 μg/ml

3 / 3
Anti-Dispatched A antibody used in IHC (Paraffin sections) (IHC-P). GTX31465
Anti-Dispatched A antibody used in Western Blot (WB). GTX31465
Anti-Dispatched A antibody used in IHC (Paraffin sections) (IHC-P). GTX31465
  • Host
    Rabbit
  • Clonality
    Polyclonal
  • Isotype
    IgG
  • Applications
    WB IHC-P ELISA
  • Reactivity
    Human, Mouse
See all Dispatched A products