Dynamin 2 antibody [C2C3], C-term

Cat. No. GTX109652
Cat. No.  GTX109652
Anti-Dynamin 2 antibody [C2C3], C-term used in Western Blot (WB). GTX109652
GTX109652 WB Image

Sample(30 ug whole cell lysate)
A:MOLT4 (GTX27912)
B:Raji (GTX27908)
7.5% SDS PAGE
GTX109652 diluted at 1:1000

1 / 6
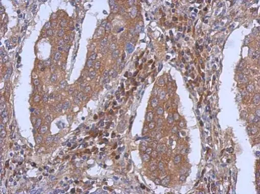
Anti-Dynamin 2 antibody [C2C3], C-term used in IHC (Paraffin sections) (IHC-P). GTX109652
GTX109652 IHC-P Image

Immunohistochemical analysis of paraffin-embedded human breast cancer, using Dynamin 2(GTX109652) antibody at 1:500 dilution.
Antigen Retrieval: Trilogy™ (EDTA based, pH 8.0) buffer, 15min

2 / 6
Anti-Dynamin 2 antibody [C2C3], C-term used in Immunocytochemistry/ Immunofluorescence (ICC/IF). GTX109652
GTX109652 ICC/IF Image

Dynamin 2 antibody [C2C3], C-term detects DNM2 protein at cytoplasm by confocal immunofluorescent analysis.
Sample: HeLa cells were fixed in ice-cold MeOH for 5 min.
Green: DNM2 protein stained by Dynamin 2 antibody [C2C3], C-term (GTX109652) diluted at 1:500.
Blue: Hoechst 33343 staining.
[Images captured by Olympus FV10i Confocal Laser Scanning Microscope]

3 / 6
Anti-Dynamin 2 antibody [C2C3], C-term used in Western Blot (WB). GTX109652
GTX109652 WB Image

The data was published in the Elife in 2019. PMID: 30648534

4 / 6
Anti-Dynamin 2 antibody [C2C3], C-term used in Western Blot (WB). GTX109652
GTX109652 WB Image

The data was published in the Elife in 2019. PMID: 30648534

5 / 6
Anti-Dynamin 2 antibody [C2C3], C-term used in Western Blot (WB). GTX109652
GTX109652 WB Image

The data was published in the Elife in 2019. PMID: 30648534

6 / 6
Anti-Dynamin 2 antibody [C2C3], C-term used in Western Blot (WB). GTX109652
Anti-Dynamin 2 antibody [C2C3], C-term used in IHC (Paraffin sections) (IHC-P). GTX109652
Anti-Dynamin 2 antibody [C2C3], C-term used in Immunocytochemistry/ Immunofluorescence (ICC/IF). GTX109652
Anti-Dynamin 2 antibody [C2C3], C-term used in Western Blot (WB). GTX109652
Anti-Dynamin 2 antibody [C2C3], C-term used in Western Blot (WB). GTX109652
Anti-Dynamin 2 antibody [C2C3], C-term used in Western Blot (WB). GTX109652
  • Host
    Rabbit
  • Clonality
    Polyclonal
  • Isotype
    IgG
  • Applications
    WB ICC/IF IHC-P
  • Reactivity
    Human, Mouse
See all Dynamin 2 products