Dystrobrevin beta antibody

Cat. No. GTX104584
Cat. No.  GTX104584
Anti-Dystrobrevin beta antibody used in Western Blot (WB). GTX104584
GTX104584 WB Image

Sample (50 ug of whole cell lysate)
A: mouse muscle
7.5% SDS PAGE
GTX104584 diluted at 1:3000

1 / 2
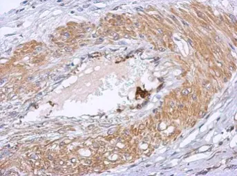
Anti-Dystrobrevin beta antibody used in IHC (Paraffin sections) (IHC-P). GTX104584
GTX104584 IHC-P Image

Immunohistochemical analysis of paraffin-embedded human gastric cancer, using Dystrobrevin beta(GTX104584) antibody at 1:500 dilution.
Antigen Retrieval: Trilogy™ (EDTA based, pH 8.0) buffer, 15min

2 / 2
Anti-Dystrobrevin beta antibody used in Western Blot (WB). GTX104584
Anti-Dystrobrevin beta antibody used in IHC (Paraffin sections) (IHC-P). GTX104584
  • Host
    Rabbit
  • Clonality
    Polyclonal
  • Isotype
    IgG
  • Applications
    WB IHC-P
  • Reactivity
    Human, Mouse
See all Dystrobrevin beta products