E-Cadherin antibody [N3C2], Internal

Cat. No. GTX124178
Cat. No.  GTX124178
Anti-E-Cadherin antibody [N3C2], Internal used in Western Blot (WB). GTX124178
GTX124178 WB Image

Non-transfected (–) and transfected (+) MCF-7 whole cell extracts (30 μg) were separated by 5% SDS-PAGE, and the membrane was blotted with E-Cadherin antibody [N3C2], Internal (GTX124178) diluted at 1:10000. The HRP-conjugated anti-rabbit IgG antibody (GTX213110-01) was used to detect the primary antibody.

1 / 10
Anti-E-Cadherin antibody [N3C2], Internal used in Immunoprecipitation (IP). GTX124178
GTX124178 IP Image

Immunoprecipitation of E-Cadherin protein from MCF-7 whole cell extracts using 5 μg of E-Cadherin antibody [N3C2], Internal (GTX124178).
Western blot analysis was performed using E-Cadherin antibody [N3C2], Internal (GTX124178).
EasyBlot anti-Rabbit IgG (GTX221666-01) was used as a secondary reagent.

2 / 10
Anti-E-Cadherin antibody [N3C2], Internal used in Western Blot (WB). GTX124178
GTX124178 WB Image

Various whole cell extracts (30 μg) were separated by 7.5% SDS-PAGE, and the membrane was blotted with E-Cadherin antibody [N3C2], Internal (GTX124178) diluted at 1:3000. The HRP-conjugated anti-rabbit IgG antibody (GTX213110-01) was used to detect the primary antibody. Corresponding RNA expression data for the same cell lines are based on Human Protein Atlas program.

3 / 10
Anti-E-Cadherin antibody [N3C2], Internal used in Western Blot (WB). GTX124178
GTX124178 WB Image

Various whole cell extracts (30 μg) were separated by 5% SDS-PAGE, and the membranes were blotted with E-Cadherin antibody [N3C2], Internal (GTX124178) diluted at 1:3000 and competitor's antibody diluted at 1:3000. The HRP-conjugated anti-rabbit IgG antibody (GTX213110-01) was used to detect the primary antibody.

*The competitor is not affiliated with GeneTex and does not endorse this product.

4 / 10
Anti-E-Cadherin antibody [N3C2], Internal used in Western Blot (WB). GTX124178
GTX124178 WB Image

E-Cadherin antibody [N3C2], Internal detects E-Cadherin protein by western blot analysis. Whole cell extracts (30 μg) was separated by 7.5% SDS-PAGE, and the membrane was blotted with E-Cadherin antibody [N3C2], Internal (GTX124178) diluted at 1:3000. The HRP-conjugated anti-rabbit IgG antibody (GTX213110-01) was used to detect the primary antibody.

5 / 10
Anti-E-Cadherin antibody [N3C2], Internal used in Immunocytochemistry/ Immunofluorescence (ICC/IF). GTX124178
GTX124178 ICC/IF Image

E-Cadherin antibody [N3C2], Internal detects E-Cadherin protein at cell membrane by immunofluorescent analysis.
Sample: HCT116 cells were fixed in 4% paraformaldehyde at RT for 15 min.
Green: E-Cadherin stained by E-Cadherin antibody [N3C2], Internal (GTX124178) diluted at 1:500.
Blue: Fluoroshield with DAPI (GTX30920).
Scale bar= 10 μm.

6 / 10
Anti-E-Cadherin antibody [N3C2], Internal used in Western Blot (WB). GTX124178
GTX124178 WB Image

Various whole cell extracts (30 μg) were separated by 5% SDS-PAGE, and the membrane was blotted with E-Cadherin antibody [N3C2], Internal (GTX124178) diluted at 1:3000. The HRP-conjugated anti-rabbit IgG antibody (GTX213110-01) was used to detect the primary antibody. Corresponding RNA expression data for the same cell lines are based on Human Protein Atlas program.

7 / 10
Anti-E-Cadherin antibody [N3C2], Internal used in Western Blot (WB). GTX124178
GTX124178 WB Image

Whole cell extracts (30 μg) was separated by 7.5% SDS-PAGE, and the membrane was blotted with E-Cadherin antibody [N3C2], Internal (GTX124178) diluted at 1:5000. The HRP-conjugated anti-rabbit IgG antibody (GTX213110-01) was used to detect the primary antibody.

8 / 10
Anti-E-Cadherin antibody [N3C2], Internal used in Immunocytochemistry/ Immunofluorescence (ICC/IF). GTX124178
GTX124178 ICC/IF Image

E-Cadherin antibody detects E-Cadherin protein at cell membrane by immunofluorescent analysis.
Sample: MDCK cells were fixed in 4% paraformaldehyde at RT for 15 min.
Green: E-Cadherin stained by E-Cadherin antibody (GTX124178) diluted at 1:1000.

9 / 10
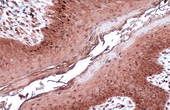
Anti-E-Cadherin antibody [N3C2], Internal used in IHC (Paraffin sections) (IHC-P). GTX124178
GTX124178 IHC-P Image

E-Cadherin antibody detects E-Cadherin protein at cell membrane and cytoplasm by immunohistochemical analysis.
Sample: Paraffin-embedded dog skin.
E-Cadherin stained by E-Cadherin antibody (GTX124178) diluted at 1:500.
Antigen Retrieval: Citrate buffer, pH 6.0, 15 min

10 / 10
Anti-E-Cadherin antibody [N3C2], Internal used in Western Blot (WB). GTX124178
Anti-E-Cadherin antibody [N3C2], Internal used in Immunoprecipitation (IP). GTX124178
Anti-E-Cadherin antibody [N3C2], Internal used in Western Blot (WB). GTX124178
Anti-E-Cadherin antibody [N3C2], Internal used in Western Blot (WB). GTX124178
Anti-E-Cadherin antibody [N3C2], Internal used in Western Blot (WB). GTX124178
Anti-E-Cadherin antibody [N3C2], Internal used in Immunocytochemistry/ Immunofluorescence (ICC/IF). GTX124178
Anti-E-Cadherin antibody [N3C2], Internal used in Western Blot (WB). GTX124178
Anti-E-Cadherin antibody [N3C2], Internal used in Western Blot (WB). GTX124178
Anti-E-Cadherin antibody [N3C2], Internal used in Immunocytochemistry/ Immunofluorescence (ICC/IF). GTX124178
Anti-E-Cadherin antibody [N3C2], Internal used in IHC (Paraffin sections) (IHC-P). GTX124178
  • Host
    Rabbit
  • Clonality
    Polyclonal
  • Isotype
    IgG
  • Applications
    WB ICC/IF IHC-P IP
  • Reactivity
    Human, Rat, Dog
See all E-Cadherin products