E2F4 antibody, C-term

Cat. No. GTX77806
Cat. No.  GTX77806
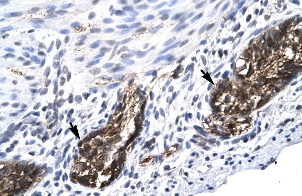
Anti-E2F4 antibody, C-term used in IHC (Paraffin sections) (IHC-P). GTX77806
GTX77806 IHC-P Image

IHC-P analysis of human stomach tissue using GTX77806 E2F4 antibody at 4.0-8.0μg/ml.

1 / 3
Anti-E2F4 antibody, C-term used in IHC (Paraffin sections) (IHC-P). GTX77806
GTX77806 IHC-P Image

IHC-P analysis of human intestine tissue using GTX77806 E2F4 antibody at 4.0-8.0μg/ml.

2 / 3
Anti-E2F4 antibody, C-term used in Western Blot (WB). GTX77806
GTX77806 WB Image

WB analysis of HepG2 cells using GTX77806 E2F4 antibody at 0.2-1μg/ml.

3 / 3
Anti-E2F4 antibody, C-term used in IHC (Paraffin sections) (IHC-P). GTX77806
Anti-E2F4 antibody, C-term used in IHC (Paraffin sections) (IHC-P). GTX77806
Anti-E2F4 antibody, C-term used in Western Blot (WB). GTX77806
  • Host
    Rabbit
  • Clonality
    Polyclonal
  • Isotype
    IgG
  • Applications
    WB IHC-P
  • Reactivity
    Human
See all E2F4 products