EBI3 antibody

Cat. No. GTX17030
Cat. No.  GTX17030
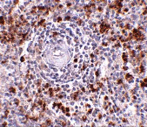
Anti-EBI3 antibody used in IHC (Paraffin sections) (IHC-P). GTX17030
GTX17030 IHC-P Image

IHC-P analysis of human spleen tissue using GTX17030 EBI3 antibody.
Working concentration : 2.5 μg/ml

1 / 3
Anti-EBI3 antibody used in Western Blot (WB). GTX17030
GTX17030 WB Image

WB analysis of human tonsil tissue lysate using GTX17030 EBI3 antibody.
Working concentration : 2 μg/ml

2 / 3
Anti-EBI3 antibody used in IHC (Paraffin sections) (IHC-P). GTX17030
GTX17030 IHC-P Image

IHC-P analysis of human spleen tissue using GTX17030 EBI3 antibody.
Working concentration : 20 μg/ml

3 / 3
Anti-EBI3 antibody used in IHC (Paraffin sections) (IHC-P). GTX17030
Anti-EBI3 antibody used in Western Blot (WB). GTX17030
Anti-EBI3 antibody used in IHC (Paraffin sections) (IHC-P). GTX17030
  • Host
    Rabbit
  • Clonality
    Polyclonal
  • Isotype
    IgG
  • Applications
    WB IHC-P ELISA
  • Reactivity
    Human, Mouse
See all EBI3 products