EGFR antibody [N1], N-term

Cat. No. GTX100725
Cat. No.  GTX100725
Anti-EGFR antibody [N1], N-term used in Western Blot (WB). GTX100725
GTX100725 WB Image

Non-transfected (–) and transfected (+) A431 whole cell extracts (15 μg) were separated by 5% SDS-PAGE, and the membrane was blotted with EGFR antibody [N1], N-term (GTX100725) diluted at 1:3000. The HRP-conjugated anti-rabbit IgG antibody (GTX213110-01) was used to detect the primary antibody.

1 / 6
Anti-EGFR antibody [N1], N-term used in IHC (Paraffin sections) (IHC-P). GTX100725
GTX100725 IHC-P Image

Immunohistochemical analysis of paraffin-embedded CA922 xenograft, using EGFR(GTX100725) antibody at 1:500 dilution.
Antigen Retrieval: Trilogy™ (EDTA based, pH 8.0) buffer, 15min

2 / 6
Anti-EGFR antibody [N1], N-term used in Western Blot (WB). GTX100725
GTX100725 WB Image

Various whole cell extracts (30 μg) were separated by 5% SDS-PAGE, and the membrane was blotted with EGFR antibody [N1], N-term (GTX100725) diluted at 1:500. The HRP-conjugated anti-rabbit IgG antibody (GTX213110-01) was used to detect the primary antibody. Corresponding RNA expression data for the same cell lines are based on Human Protein Atlas program.

3 / 6
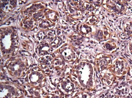
Anti-EGFR antibody [N1], N-term used in IHC (Paraffin sections) (IHC-P). GTX100725
GTX100725 IHC-P Image

Immunohistochemical analysis of paraffin-embedded human breast cancer, using EGFR(GTX100725) antibody at 1:100 dilution.
Antigen Retrieval: Trilogy™ (EDTA based, pH 8.0) buffer, 15min

4 / 6
Anti-EGFR antibody [N1], N-term used in Western Blot (WB). GTX100725
GTX100725 WB Image

Various whole cell extracts (30 μg) were separated by 7.5% SDS-PAGE, and the membrane was blotted with EGFR antibody [N1], N-term (GTX100725) diluted at 1:500. The HRP-conjugated anti-rabbit IgG antibody (GTX213110-01) was used to detect the primary antibody.

5 / 6
Anti-EGFR antibody [N1], N-term used in Western Blot (WB). GTX100725
GTX100725 WB Image

EGFR antibody detects EGFR protein by western blot analysis. Whole cell extracts (30 μg) was separated by 5% SDS-PAGE, and the membrane was blotted with EGFR antibody (GTX100725) at a dilution of 1:1000. The HRP-conjugated anti-rabbit IgG antibody (GTX213110-01) was used to detect the primary antibody.

6 / 6
Anti-EGFR antibody [N1], N-term used in Western Blot (WB). GTX100725
Anti-EGFR antibody [N1], N-term used in IHC (Paraffin sections) (IHC-P). GTX100725
Anti-EGFR antibody [N1], N-term used in Western Blot (WB). GTX100725
Anti-EGFR antibody [N1], N-term used in IHC (Paraffin sections) (IHC-P). GTX100725
Anti-EGFR antibody [N1], N-term used in Western Blot (WB). GTX100725
Anti-EGFR antibody [N1], N-term used in Western Blot (WB). GTX100725
  • Host
    Rabbit
  • Clonality
    Polyclonal
  • Isotype
    IgG
  • Applications
    WB IHC-P
  • Reactivity
    Human
See all EGFR products