EGR2 antibody

Cat. No. GTX05198
Cat. No.  GTX05198
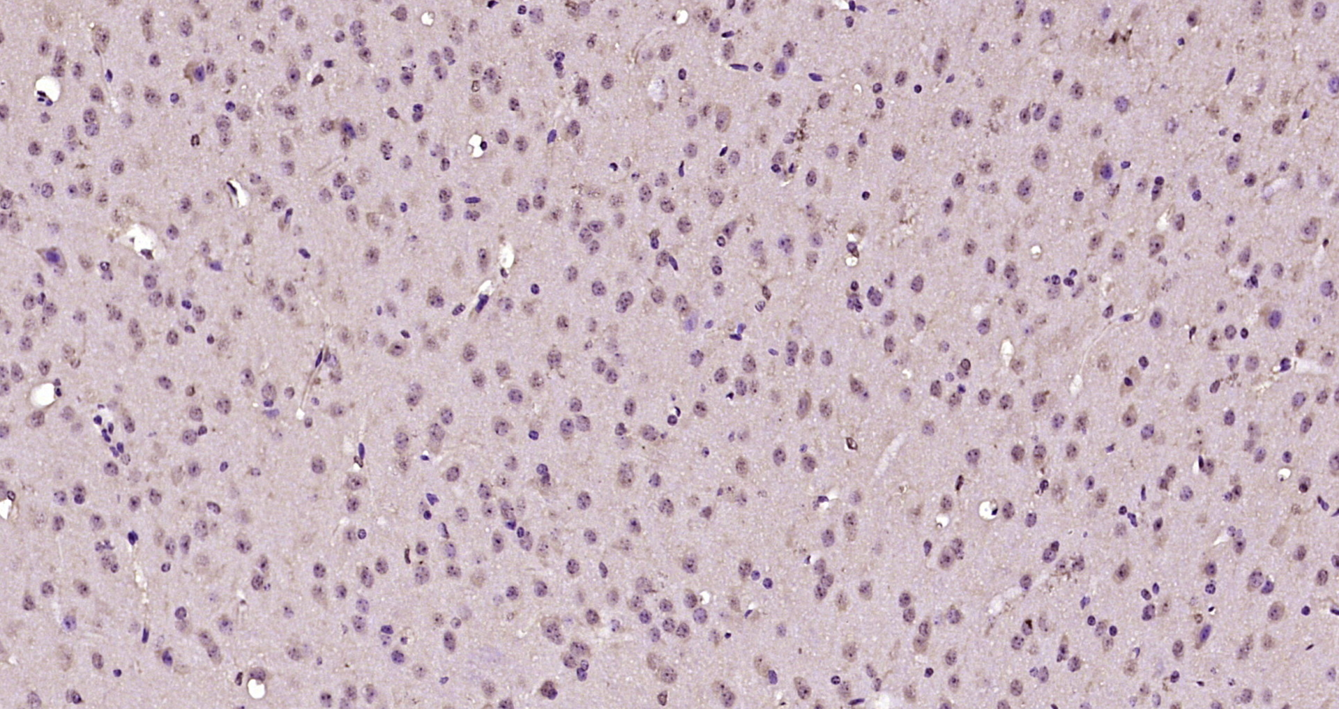
Anti-EGR2 antibody used in IHC (Paraffin sections) (IHC-P). GTX05198
GTX05198 IHC-P Image

IHC-P analysis of mouse brain tissue using GTX05198 EGR2 antibody.
Antigen retrieval : Boiling in sodium citrate buffer (pH6.0)
Dilution : 1:200

1 / 2
Anti-EGR2 antibody used in Western Blot (WB). GTX05198
GTX05198 WB Image

WB analysis of various samples using GTX05198 EGR2 antibody.
Dilution : 1:1000

2 / 2
Anti-EGR2 antibody used in IHC (Paraffin sections) (IHC-P). GTX05198
Anti-EGR2 antibody used in Western Blot (WB). GTX05198
  • Host
    Rabbit
  • Clonality
    Polyclonal
  • Isotype
    IgG
  • Applications
    WB ICC/IF IHC-P ISH
  • Reactivity
    Human, Mouse
See all EGR2 products