EIF4A2 antibody

Cat. No. GTX64840
Cat. No.  GTX64840
Anti-EIF4A2 antibody used in Western Blot (WB). GTX64840
GTX64840 WB Image

WB analysis of various sample lysates using GTX64840 EIF4A2 antibody.
Dilution : 1:1000
Loading : 25μg per lane

1 / 4
Anti-EIF4A2 antibody used in IHC (Paraffin sections) (IHC-P). GTX64840
GTX64840 IHC-P Image

IHC-P analysis of mouse brain tissue using GTX64840 EIF4A2 antibody.
Dilution : 1:100

2 / 4
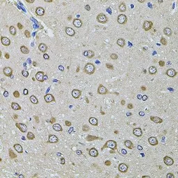
Anti-EIF4A2 antibody used in IHC (Paraffin sections) (IHC-P). GTX64840
GTX64840 IHC-P Image

IHC-P analysis of rat brain tissue using GTX64840 EIF4A2 antibody.
Dilution : 1:100

3 / 4
Anti-EIF4A2 antibody used in IHC (Paraffin sections) (IHC-P). GTX64840
GTX64840 IHC-P Image

IHC-P analysis of rat heart tissue using GTX64840 EIF4A2 antibody.
Dilution : 1:100

4 / 4
Anti-EIF4A2 antibody used in Western Blot (WB). GTX64840
Anti-EIF4A2 antibody used in IHC (Paraffin sections) (IHC-P). GTX64840
Anti-EIF4A2 antibody used in IHC (Paraffin sections) (IHC-P). GTX64840
Anti-EIF4A2 antibody used in IHC (Paraffin sections) (IHC-P). GTX64840
  • Host
    Rabbit
  • Clonality
    Polyclonal
  • Isotype
    IgG
  • Applications
    WB IHC-P
  • Reactivity
    Human, Mouse, Rat
See all EIF4A2 products