EIF4G (phospho Ser1231) antibody

Cat. No. GTX79087
Cat. No.  GTX79087
Anti-EIF4G (phospho Ser1231) antibody used in Western Blot (WB). GTX79087
GTX79087 WB Image

WB analysis of PMA treated 293 cell lysate using GTX79087 EIF4G (phospho Ser1231) antibody (Lane 3 and 4) and EIF4G antibody (Lane 1 and 2).

1 / 2
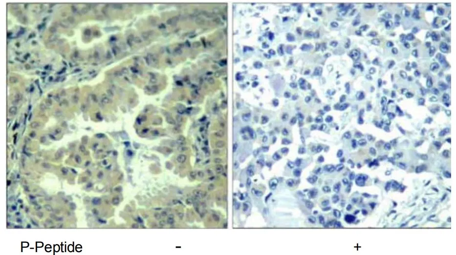
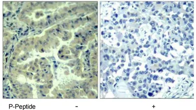
Anti-EIF4G (phospho Ser1231) antibody used in IHC (Paraffin sections) (IHC-P). GTX79087
GTX79087 IHC-P Image

IHC-P analysis of human lung carcinoma tissue using GTX79087 EIF4G (phospho Ser1231) antibody.

2 / 2
Anti-EIF4G (phospho Ser1231) antibody used in Western Blot (WB). GTX79087
Anti-EIF4G (phospho Ser1231) antibody used in IHC (Paraffin sections) (IHC-P). GTX79087
  • Host
    Rabbit
  • Clonality
    Polyclonal
  • Isotype
    IgG
  • Applications
    WB IHC-P
  • Reactivity
    Human, Rat
See all EIF4G1 products