EIF6 antibody [HL1758]

Cat. No. GTX637408
Cat. No.  GTX637408
Anti-EIF6 antibody [HL1758] used in Western Blot (WB). GTX637408
GTX637408 WB Image

Non-transfected (–) and transfected (+) 293T whole cell extracts (30 μg) were separated by 12% SDS-PAGE, and the membrane was blotted with EIF6 antibody [HL1758] (GTX637408) diluted at 1:5000. The HRP-conjugated anti-rabbit IgG antibody (GTX213110-01) was used to detect the primary antibody.

1 / 7
Anti-EIF6 antibody [HL1758] used in Western Blot (WB). GTX637408
GTX637408 WB Image

Whole cell extract (30 μg) was separated by 12% SDS-PAGE, and the membrane was blotted with EIF6 antibody [HL1758] (GTX637408) diluted at 1:1000. The HRP-conjugated anti-rabbit IgG antibody (GTX213110-01) was used to detect the primary antibody.

2 / 7
Anti-EIF6 antibody [HL1758] used in Western Blot (WB). GTX637408
GTX637408 WB Image

Whole zebrafish extract (30 μg) was separated by 12% SDS-PAGE, and the membrane was blotted with EIF6 antibody [HL1758] (GTX637408) diluted at 1:1000. The HRP-conjugated anti-rabbit IgG antibody (GTX213110-01) was used to detect the primary antibody.

3 / 7
Anti-EIF6 antibody [HL1758] used in IHC (Paraffin sections) (IHC-P). GTX637408
GTX637408 IHC-P Image

EIF6 antibody [HL1758] detects EIF6 protein at cytoplasm and nucleus by immunohistochemical analysis.
Sample: Paraffin-embedded human esophageal carcinoma.
EIF6 stained by EIF6 antibody [HL1758] (GTX637408) diluted at 1:100.
Antigen Retrieval: Citrate buffer, pH 6.0, 15 min

4 / 7
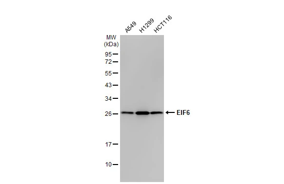
Anti-EIF6 antibody [HL1758] used in Western Blot (WB). GTX637408
GTX637408 WB Image

Various whole cell extracts (30 μg) were separated by 12% SDS-PAGE, and the membrane was blotted with EIF6 antibody [HL1758] (GTX637408) diluted at 1:1000. The HRP-conjugated anti-rabbit IgG antibody (GTX213110-01) was used to detect the primary antibody.

5 / 7
Anti-EIF6 antibody [HL1758] used in Western Blot (WB). GTX637408
GTX637408 WB Image

Various whole cell extracts (50 μg) were separated by 12% SDS-PAGE, and the membrane was blotted with EIF6 antibody [HL1758] (GTX637408) diluted at 1:1000. The HRP-conjugated anti-rabbit IgG antibody (GTX213110-01) was used to detect the primary antibody.

6 / 7
Anti-EIF6 antibody [HL1758] used in Western Blot (WB). GTX637408
GTX637408 WB Image

Whole Japanese medaka extract (30 μg) was separated by 12% SDS-PAGE, and the membrane was blotted with EIF6 antibody [HL1758] (GTX637408) diluted at 1:1000. The HRP-conjugated anti-rabbit IgG antibody (GTX213110-01) was used to detect the primary antibody, and the signal was developed with Trident ECL plus-Enhanced.

7 / 7
Anti-EIF6 antibody [HL1758] used in Western Blot (WB). GTX637408
Anti-EIF6 antibody [HL1758] used in Western Blot (WB). GTX637408
Anti-EIF6 antibody [HL1758] used in Western Blot (WB). GTX637408
Anti-EIF6 antibody [HL1758] used in IHC (Paraffin sections) (IHC-P). GTX637408
Anti-EIF6 antibody [HL1758] used in Western Blot (WB). GTX637408
Anti-EIF6 antibody [HL1758] used in Western Blot (WB). GTX637408
Anti-EIF6 antibody [HL1758] used in Western Blot (WB). GTX637408
  • Host
    Rabbit
  • Clonality
    Monoclonal
  • Clone Name
    HL1758
  • Isotype
    IgG
  • Applications
    WB IHC-P
  • Reactivity
    Human, Mouse, Rat, Zebrafish, Drosophila, Japanese Medaka
See all EIF6 products