ELF4 antibody

Cat. No. GTX04903
Cat. No.  GTX04903
Anti-ELF4 antibody used in Immunocytochemistry/ Immunofluorescence (ICC/IF). GTX04903
GTX04903 ICC/IF Image

ICC/IF analysis of PFA-fixed A549 cells using GTX04903 ELF4 antibody.
Red : Primary antibody
Green : beta-tubulin
Blue : DAPI
Permeabilization : 0.1% Triton X-100

1 / 5
Anti-ELF4 antibody used in IHC (Paraffin sections) (IHC-P). GTX04903
GTX04903 IHC-P Image

IHC-P analysis of human esophageal cancer tissue using GTX04903 ELF4 antibody.
Antigen retrieval : Heat mediated citrate buffer
Dilution : 1:100

2 / 5
Anti-ELF4 antibody used in Western Blot (WB). GTX04903
GTX04903 WB Image

WB analysis of rat liver tissue lysate using GTX04903 ELF4 antibody. The lane on the right was treated with blocking peptide.

3 / 5
Anti-ELF4 antibody used in IHC (Paraffin sections) (IHC-P). GTX04903
GTX04903 IHC-P Image

IHC-P analysis of human gastric cancer tissue using GTX04903 ELF4 antibody.
Antigen retrieval : Heat mediated citrate buffer
Dilution : 1:100

4 / 5
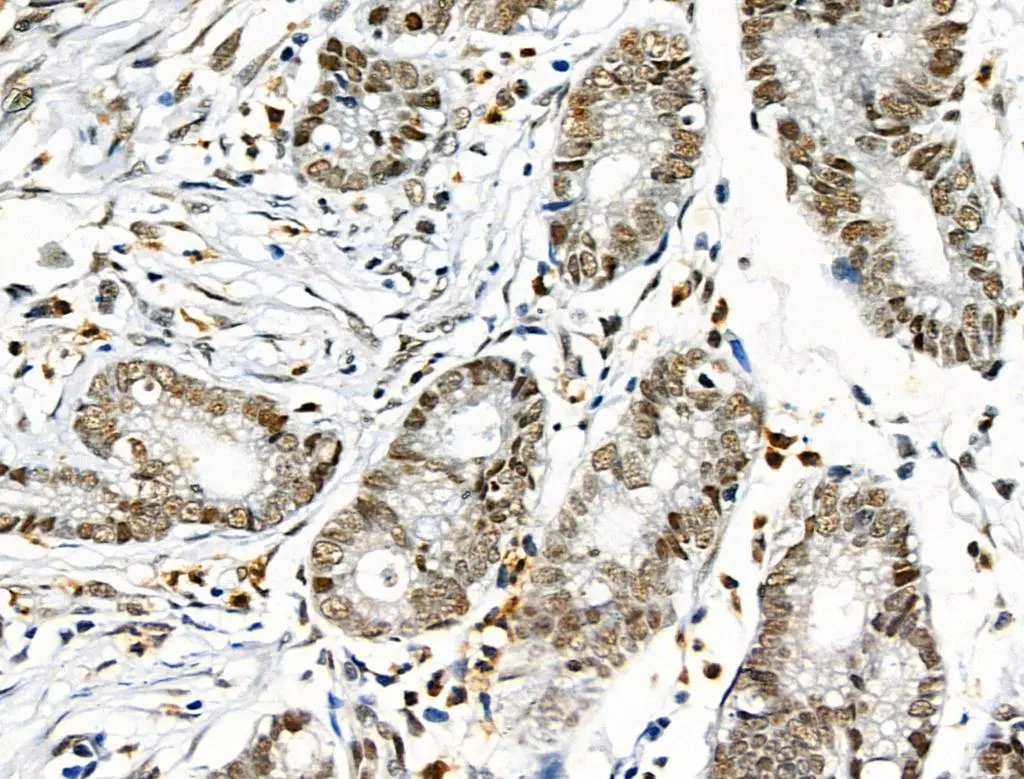
Anti-ELF4 antibody used in IHC (Paraffin sections) (IHC-P). GTX04903
GTX04903 IHC-P Image

IHC-P analysis of human gastric cancer tissue using GTX04903 ELF4 antibody.
Antigen retrieval : Heat mediated citrate buffer
Dilution : 1:100

5 / 5
Anti-ELF4 antibody used in Immunocytochemistry/ Immunofluorescence (ICC/IF). GTX04903
Anti-ELF4 antibody used in IHC (Paraffin sections) (IHC-P). GTX04903
Anti-ELF4 antibody used in Western Blot (WB). GTX04903
Anti-ELF4 antibody used in IHC (Paraffin sections) (IHC-P). GTX04903
Anti-ELF4 antibody used in IHC (Paraffin sections) (IHC-P). GTX04903
  • Host
    Rabbit
  • Clonality
    Polyclonal
  • Isotype
    IgG
  • Applications
    WB ICC/IF IHC-P
  • Reactivity
    Human, Rat
See all ELF4 products