ENTPD7 antibody [N1N3]

Cat. No. GTX120593
Cat. No.  GTX120593
Anti-ENTPD7 antibody [N1N3] used in IHC (Paraffin sections) (IHC-P). GTX120593
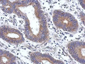
GTX120593 IHC-P Image

Immunohistochemical analysis of paraffin-embedded human colon carcinoma, using ENTPD7(GTX120593) antibody at 1:500 dilution.
Antigen Retrieval: Trilogy™ (EDTA based, pH 8.0) buffer, 15min

1 / 2
Anti-ENTPD7 antibody [N1N3] used in Western Blot (WB). GTX120593
GTX120593 WB Image

Sample (30 ug of whole cell lysate)
A: NT2D1
7.5% SDS PAGE
GTX120593 diluted at 1:1000

2 / 2
Anti-ENTPD7 antibody [N1N3] used in IHC (Paraffin sections) (IHC-P). GTX120593
Anti-ENTPD7 antibody [N1N3] used in Western Blot (WB). GTX120593
  • Host
    Rabbit
  • Clonality
    Polyclonal
  • Isotype
    IgG
  • Applications
    WB IHC-P
  • Reactivity
    Human
See all ENTPD7 products