ERK1/2 antibody [HL2946]

Cat. No. GTX640331
Cat. No.  GTX640331
Anti-ERK1/2 antibody [HL2946] used in Western Blot (WB). GTX640331
GTX640331 WB Image

Various whole cell extracts (30 μg) were separated by 10% SDS-PAGE, and the membrane was blotted with ERK1/2 antibody [HL2946] (GTX640331) diluted at 1:10000. The HRP-conjugated anti-rabbit IgG antibody (GTX213110-01) was used to detect the primary antibody.

1 / 7
Anti-ERK1/2 antibody [HL2946] used in Western Blot (WB). GTX640331
GTX640331 WB Image

Various whole cell extracts (30 μg) were separated by 10% SDS-PAGE, and the membrane was blotted with ERK1/2 antibody [HL2946] (GTX640331) diluted at 1:10000. The HRP-conjugated anti-rabbit IgG antibody (GTX213110-01) was used to detect the primary antibody.

2 / 7
Anti-ERK1/2 antibody [HL2946] used in Western Blot (WB). GTX640331
GTX640331 WB Image

Various whole cell extracts (30 μg) were separated by 10% SDS-PAGE, and the membrane was blotted with ERK1/2 antibody [HL2946] (GTX640331) diluted at 1:10000. The HRP-conjugated anti-rabbit IgG antibody (GTX213110-01) was used to detect the primary antibody.

3 / 7
Anti-ERK1/2 antibody [HL2946] used in Immunocytochemistry/ Immunofluorescence (ICC/IF). GTX640331
GTX640331 ICC/IF Image

ERK1/2 antibody [HL2946] detects ERK1/2 protein by immunofluorescent analysis.
Sample: HeLa cells were fixed in 4% paraformaldehyde at RT for 15 min.
Green: ERK1/2 stained by ERK1/2 antibody [HL2946] (GTX640331) diluted at 1:500.
Red: alpha Tubulin, a cytoskeleton marker, stained by alpha Tubulin antibody [GT114] (GTX628802) diluted at 1:1000.
Blue: Fluoroshield with DAPI (GTX30920).

4 / 7
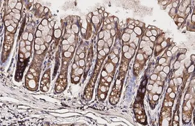
Anti-ERK1/2 antibody [HL2946] used in IHC (Paraffin sections) (IHC-P). GTX640331
GTX640331 IHC-P Image

ERK1/2 antibody [HL2946] detects ERK1/2 protein by immunohistochemical analysis.
Sample: Paraffin-embedded mouse colon.
ERK1/2 stained by ERK1/2 antibody [HL2946] (GTX640331) diluted at 1:100.
Antigen Retrieval: Citrate buffer, pH 6.0, 15 min

5 / 7
Anti-ERK1/2 antibody [HL2946] used in IHC (Paraffin sections) (IHC-P). GTX640331
GTX640331 IHC-P Image

ERK1/2 antibody [HL2946] detects ERK1/2 protein by immunohistochemical analysis.
Sample: Paraffin-embedded human oral carcinoma.
ERK1/2 stained by ERK1/2 antibody [HL2946] (GTX640331) diluted at 1:100.
Antigen Retrieval: Citrate buffer, pH 6.0, 15 min

6 / 7
Anti-ERK1/2 antibody [HL2946] used in IHC (Paraffin sections) (IHC-P). GTX640331
GTX640331 IHC-P Image

ERK1/2 antibody [HL2946] detects ERK1/2 protein by immunohistochemical analysis.
Sample: Paraffin-embedded rat esophagus.
ERK1/2 stained by ERK1/2 antibody [HL2946] (GTX640331) diluted at 1:100.
Antigen Retrieval: Citrate buffer, pH 6.0, 15 min

7 / 7
Anti-ERK1/2 antibody [HL2946] used in Western Blot (WB). GTX640331
Anti-ERK1/2 antibody [HL2946] used in Western Blot (WB). GTX640331
Anti-ERK1/2 antibody [HL2946] used in Western Blot (WB). GTX640331
Anti-ERK1/2 antibody [HL2946] used in Immunocytochemistry/ Immunofluorescence (ICC/IF). GTX640331
Anti-ERK1/2 antibody [HL2946] used in IHC (Paraffin sections) (IHC-P). GTX640331
Anti-ERK1/2 antibody [HL2946] used in IHC (Paraffin sections) (IHC-P). GTX640331
Anti-ERK1/2 antibody [HL2946] used in IHC (Paraffin sections) (IHC-P). GTX640331
  • Host
    Rabbit
  • Clonality
    Monoclonal
  • Clone Name
    HL2946
  • Isotype
    IgG
  • Applications
    WB ICC/IF IHC-P
  • Reactivity
    Human, Mouse, Rat
See all ERK1/2 products