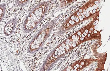
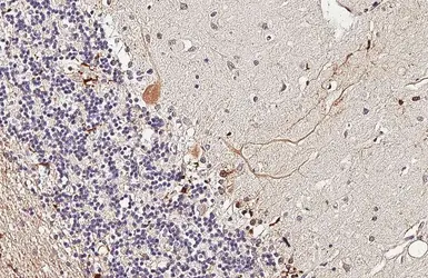
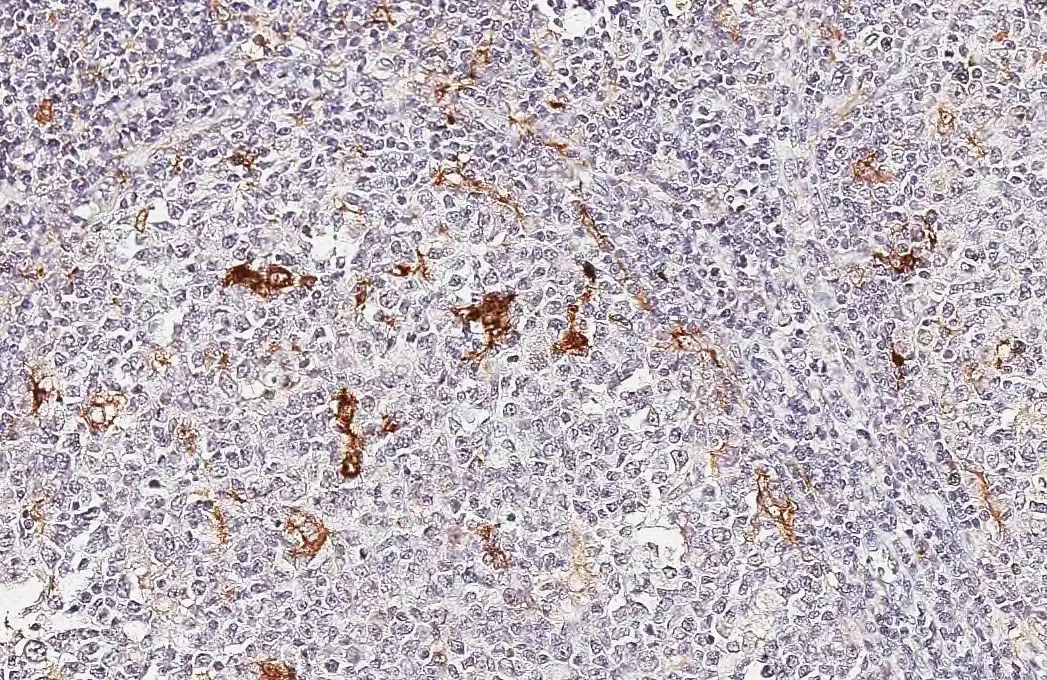
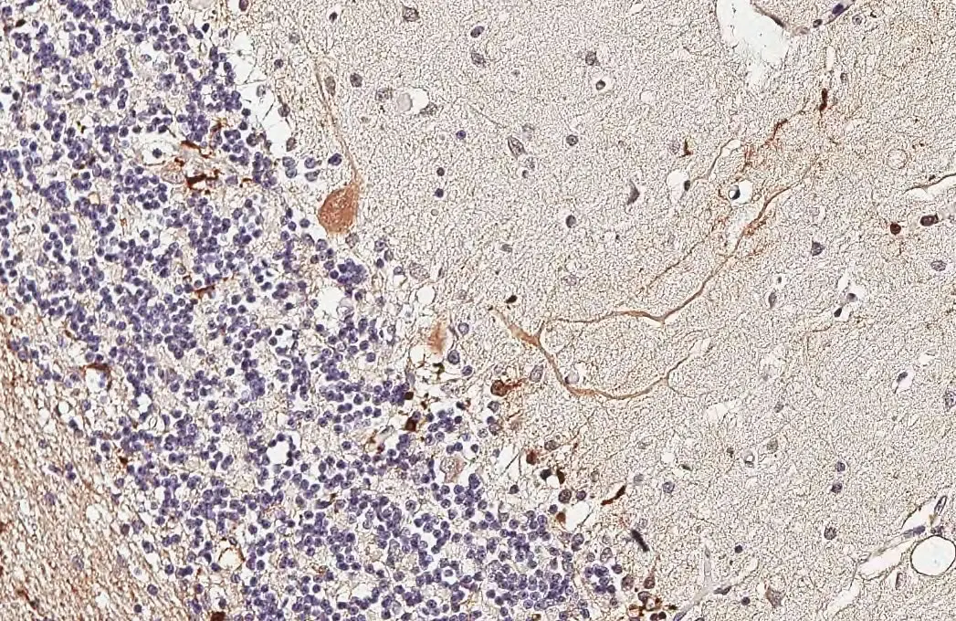
ETNK1 antibody [HL5426]
Cat. No. GTX646068
Cat. No. GTX646068
-
HostRabbit
-
ClonalityMonoclonal
-
Clone NameHL5426
-
IsotypeIgG
-
ApplicationsWB IHC-P
-
ReactivityHuman