ETS1 (phospho Thr38) antibody

Cat. No. GTX55307
Cat. No.  GTX55307
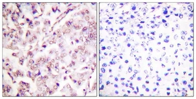
Anti-ETS1 (phospho Thr38) antibody used in IHC (Paraffin sections) (IHC-P). GTX55307
GTX55307 IHC-P Image

IHC-P analysis of human breast carcinoma tissue using GTX55307 ETS1 (phospho Thr38) antibody.
Left : Primary antibody
Right : Primary antibody pre-incubated with the antigen specific peptide

1 / 3
Anti-ETS1 (phospho Thr38) antibody used in Immunocytochemistry/ Immunofluorescence (ICC/IF). GTX55307
GTX55307 ICC/IF Image

ICC/IF analysis of methanol-fixed HeLa cells using GTX55307 ETS1 (phospho Thr38) antibody.

2 / 3
Anti-ETS1 (phospho Thr38) antibody used in Western Blot (WB). GTX55307
GTX55307 WB Image

WB analysis of extracts from HepG2 cells using GTX55307 ETS1 (phospho Thr38) antibody.
Left : Primary antibody
Right : Primary antibody pre-incubated with the antigen specific peptide

3 / 3
Anti-ETS1 (phospho Thr38) antibody used in IHC (Paraffin sections) (IHC-P). GTX55307
Anti-ETS1 (phospho Thr38) antibody used in Immunocytochemistry/ Immunofluorescence (ICC/IF). GTX55307
Anti-ETS1 (phospho Thr38) antibody used in Western Blot (WB). GTX55307
  • Host
    Rabbit
  • Clonality
    Polyclonal
  • Isotype
    IgG
  • Applications
    WB ICC/IF IHC-P
  • Reactivity
    Human
See all ETS1 products