Endothelin B Receptor antibody [HL2832]

Cat. No. GTX640103
Cat. No.  GTX640103
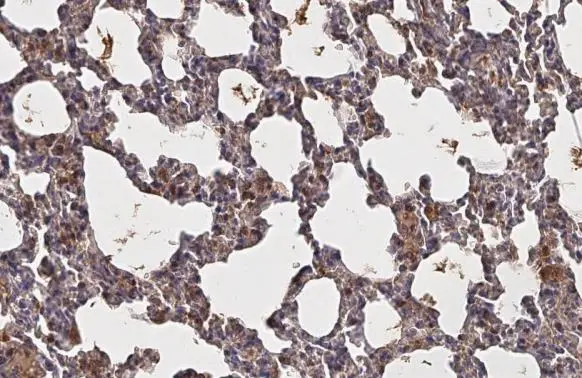
Anti-Endothelin B Receptor antibody [HL2832] used in IHC (Paraffin sections) (IHC-P). GTX640103
GTX640103 IHC-P Image

Endothelin B Receptor antibody [HL2832] detects Endothelin B Receptor protein at cell membrane and cytoplasm by immunohistochemical analysis.
Sample: Paraffin-embedded rat lung.
Endothelin B Receptor stained by Endothelin B Receptor antibody [HL2832] (GTX640103) diluted at 1:100.
Antigen Retrieval: Citrate buffer, pH 6.0, 15 min

1 / 3
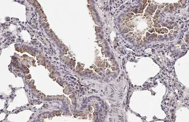
Anti-Endothelin B Receptor antibody [HL2832] used in IHC (Paraffin sections) (IHC-P). GTX640103
GTX640103 IHC-P Image

Endothelin B Receptor antibody [HL2832] detects Endothelin B Receptor protein at cell membrane by immunohistochemical analysis.
Sample: Paraffin-embedded mouse lung.
Endothelin B Receptor stained by Endothelin B Receptor antibody [HL2832] (GTX640103) diluted at 1:100.
Antigen Retrieval: Citrate buffer, pH 6.0, 15 min

2 / 3
Anti-Endothelin B Receptor antibody [HL2832] used in IHC (Paraffin sections) (IHC-P). GTX640103
GTX640103 IHC-P Image

Endothelin B Receptor antibody [HL2832] detects Endothelin B Receptor protein at cell membrane and cytoplasm by immunohistochemical analysis.
Sample: Paraffin-embedded Caco-2 xenograft.
Endothelin B Receptor stained by Endothelin B Receptor antibody [HL2832] (GTX640103) diluted at 1:100.
Antigen Retrieval: Citrate buffer, pH 6.0, 15 min

3 / 3
Anti-Endothelin B Receptor antibody [HL2832] used in IHC (Paraffin sections) (IHC-P). GTX640103
Anti-Endothelin B Receptor antibody [HL2832] used in IHC (Paraffin sections) (IHC-P). GTX640103
Anti-Endothelin B Receptor antibody [HL2832] used in IHC (Paraffin sections) (IHC-P). GTX640103
  • Host
    Rabbit
  • Clonality
    Monoclonal
  • Clone Name
    HL2832
  • Isotype
    IgG
  • Applications
    IHC-P
  • Reactivity
    Human, Mouse, Rat
See all Endothelin B Receptor products