Enterovirus 71 VP2 antibody

Cat. No. GTX132340
Cat. No.  GTX132340
Anti-Enterovirus 71 VP2 antibody used in Western Blot (WB). GTX132340
GTX132340 WB Image

Non-infected (–) and infected (+) RD whole cell extracts (30 μg) were separated by 12% SDS-PAGE, and the membrane was blotted with Enterovirus 71 VP2 antibody (GTX132340) diluted at 1:5000. The HRP-conjugated anti-rabbit IgG antibody (GTX213110-01) was used to detect the primary antibody.

1 / 4
Anti-Enterovirus 71 VP2 antibody used in Western Blot (WB). GTX132340
GTX132340 WB Image

Non-infected (–) and infected (+) RD whole cell extracts (15 μg) were separated by 12% SDS-PAGE, and the membrane was blotted with Enterovirus 71 VP2 antibody (GTX132340) diluted at 1:5000. The HRP-conjugated anti-rabbit IgG antibody (GTX213110-01) was used to detect the primary antibody.

2 / 4
Anti-Enterovirus 71 VP2 antibody used in Immunocytochemistry/ Immunofluorescence (ICC/IF). GTX132340
GTX132340 ICC/IF Image

EV71 VP2 antibody detects EV71 VP2 protein by immunofluorescent analysis. Sample: RD cells infected with EV71 were fixed in 4% paraformaldehyde. Green: EV71 VP2 protein stained by EV71 VP2 antibody (GTX132340) diluted at 1:500. Blue: DAPI staining. Scale bar = 500 μm.

3 / 4
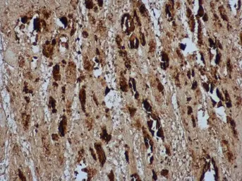
Anti-Enterovirus 71 VP2 antibody used in IHC (Paraffin sections) (IHC-P). GTX132340
GTX132340 IHC-P Image

EV71 VP2 antibody detects EV71 VP2 protein in EV71 infected mouse skeletal muscle by immunohistochemical analysis. Sample: Paraffin-embedded EV71 infected mouse skeletal muscle. EV71 VP2 antibody [GTX132340] diluted at 1:500
Antigen Retrieval: Citrate buffer

4 / 4
Anti-Enterovirus 71 VP2 antibody used in Western Blot (WB). GTX132340
Anti-Enterovirus 71 VP2 antibody used in Western Blot (WB). GTX132340
Anti-Enterovirus 71 VP2 antibody used in Immunocytochemistry/ Immunofluorescence (ICC/IF). GTX132340
Anti-Enterovirus 71 VP2 antibody used in IHC (Paraffin sections) (IHC-P). GTX132340
  • Host
    Rabbit
  • Clonality
    Polyclonal
  • Isotype
    IgG
  • Applications
    WB ICC/IF IHC-P
  • Reactivity
    Enterovirus 71
See all Enterovirus 71 VP2 products