EpCAM antibody [HL1338]

Cat. No. GTX636758
Cat. No.  GTX636758
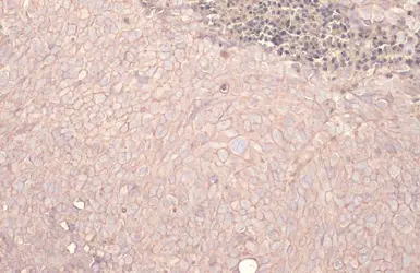
Anti-EpCAM antibody [HL1338] used in IHC (Paraffin sections) (IHC-P). GTX636758
GTX636758 IHC-P Image

EpCAM antibody [HL1338] detects EpCAM protein at cell membrane by immunohistochemical analysis.
Sample: Paraffin-embedded human HCT116 xenograft.
EpCAM stained by EpCAM antibody [HL1338] (GTX636758) diluted at 1:200.
Antigen Retrieval: Citrate buffer, pH 6.0, 15 min

1 / 6
Anti-EpCAM antibody [HL1338] used in Western Blot (WB). GTX636758
GTX636758 WB Image

Various whole cell extracts (30 μg) were separated by 10% SDS-PAGE, and the membrane was blotted with EpCAM antibody [HL1338] (GTX636758) diluted at 1:1000. The HRP-conjugated anti-rabbit IgG antibody (GTX213110-01) was used to detect the primary antibody.

2 / 6
Anti-EpCAM antibody [HL1338] used in IHC (Paraffin sections) (IHC-P). GTX636758
GTX636758 IHC-P Image

EpCAM antibody [HL1338] detects EpCAM protein at cell membrane by immunohistochemical analysis.
Sample: Paraffin-embedded mouse intestine.
EpCAM stained by EpCAM antibody [HL1338] (GTX636758) diluted at 1:200.
Antigen Retrieval: Citrate buffer, pH 6.0, 15 min

3 / 6
Anti-EpCAM antibody [HL1338] used in IHC (Paraffin sections) (IHC-P). GTX636758
GTX636758 IHC-P Image

EpCAM antibody [HL1338] detects EpCAM protein at cell membrane by immunohistochemical analysis.
Sample: Paraffin-embedded mouse colon.
EpCAM stained by EpCAM antibody [HL1338] (GTX636758) diluted at 1:100.
Antigen Retrieval: Citrate buffer, pH 6.0, 15 min

4 / 6
Anti-EpCAM antibody [HL1338] used in Flow cytometry (FCM). GTX636758
GTX636758 FCM Image

EpCAM antibody [HL1338] (GTX636758) detects EpCAM protein by flow cytometry analysis.
Sample: HCT-116 and HeLa cell.
Gray: Rabbit IgG Isotype control.
Red: EpCAM antibody [HL1338] (GTX636758) dilution: 1:50.
Acquisition of 50,000 events were collected for flow cytometry analysis.

5 / 6
Anti-EpCAM antibody [HL1338] used in Immunocytochemistry/ Immunofluorescence (ICC/IF). GTX636758
GTX636758 ICC/IF Image

EpCAM antibody [HL1338] detects EpCAM protein at cell membrane and cell junction by immunofluorescent analysis.
Sample: HCT116 cells were fixed in ice-cold MeOH for 5 min.
Green: EpCAM stained by EpCAM antibody [HL1338] (GTX636758) diluted at 1:500.
Blue: Fluoroshield with DAPI (GTX30920).

6 / 6
Anti-EpCAM antibody [HL1338] used in IHC (Paraffin sections) (IHC-P). GTX636758
Anti-EpCAM antibody [HL1338] used in Western Blot (WB). GTX636758
Anti-EpCAM antibody [HL1338] used in IHC (Paraffin sections) (IHC-P). GTX636758
Anti-EpCAM antibody [HL1338] used in IHC (Paraffin sections) (IHC-P). GTX636758
Anti-EpCAM antibody [HL1338] used in Flow cytometry (FCM). GTX636758
Anti-EpCAM antibody [HL1338] used in Immunocytochemistry/ Immunofluorescence (ICC/IF). GTX636758
  • Host
    Rabbit
  • Clonality
    Monoclonal
  • Clone Name
    HL1338
  • Isotype
    IgG
  • Applications
    WB ICC/IF IHC-P FCM
  • Reactivity
    Human, Mouse
See all EpCAM products