EpCAM antibody [MOC-31]

Cat. No. GTX34700
Cat. No.  GTX34700
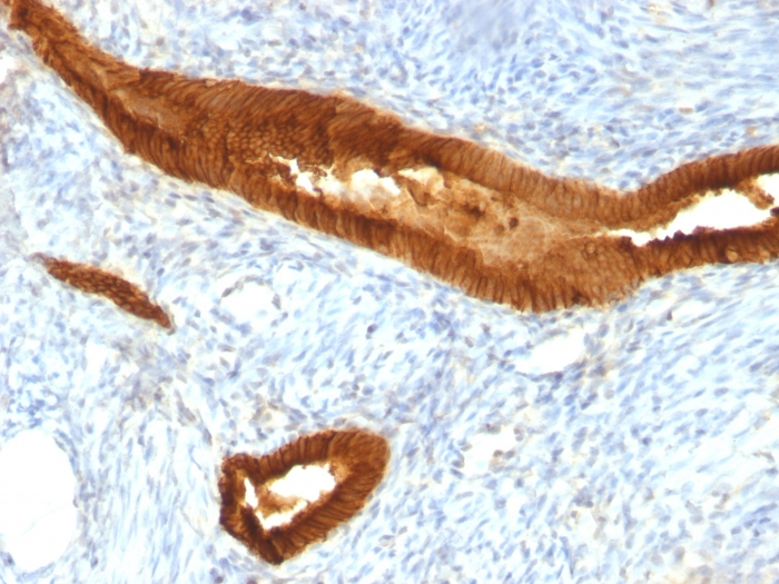
Anti-EpCAM antibody [MOC-31] used in IHC (Paraffin sections) (IHC-P). GTX34700
GTX34700 IHC-P Image

IHC-P analysis of human colon carcinoma tissue using GTX34700 EpCAM antibody [MOC-31].

1 / 4
Anti-EpCAM antibody [MOC-31] used in IHC (Paraffin sections) (IHC-P). GTX34700
GTX34700 IHC-P Image

IHC-P analysis of human endometrial carcinoma tissue using GTX34700 EpCAM antibody [MOC-31].

2 / 4
Anti-EpCAM antibody [MOC-31] used in IHC (Paraffin sections) (IHC-P). GTX34700
GTX34700 IHC-P Image

IHC-P analysis of human ovarian carcinoma tissue using GTX34700 EpCAM antibody [MOC-31].

3 / 4
Anti-EpCAM antibody [MOC-31] used in Western Blot (WB). GTX34700
GTX34700 WB Image

WB analysis of human lung tissue lysate using GTX34700 EpCAM antibody [MOC-31].

4 / 4
Anti-EpCAM antibody [MOC-31] used in IHC (Paraffin sections) (IHC-P). GTX34700
Anti-EpCAM antibody [MOC-31] used in IHC (Paraffin sections) (IHC-P). GTX34700
Anti-EpCAM antibody [MOC-31] used in IHC (Paraffin sections) (IHC-P). GTX34700
Anti-EpCAM antibody [MOC-31] used in Western Blot (WB). GTX34700
  • Host
    Mouse
  • Clonality
    Monoclonal
  • Clone Name
    MOC-31
  • Isotype
    IgG1
  • Applications
    WB IHC-P
  • Reactivity
    Human
See all EpCAM products