Epac1 antibody [GT1334]

Cat. No. GTX03246
Cat. No.  GTX03246
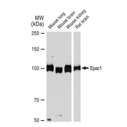
Anti-Epac1 antibody [GT1334] used in Western Blot (WB). GTX03246
GTX03246 WB Image

Various tissue extracts (50 μg) were separated by 10% SDS-PAGE, and the membrane was blotted with Epac1 antibody [GT1334] (GTX03246) diluted at 1:1000. The HRP-conjugated anti-rabbit IgG antibody (GTX213110-01) was used to detect the primary antibody, and the signal was developed with Trident ECL plus-Enhanced.

1 / 4
Anti-Epac1 antibody [GT1334] used in Western Blot (WB). GTX03246
GTX03246 WB Image

Various whole cell extracts (30 μg) were separated by 10% SDS-PAGE, and the membrane was blotted with Epac1 antibody [GT1334] (GTX03246) diluted at 1:1000. The HRP-conjugated anti-rabbit IgG antibody (GTX213110-01) was used to detect the primary antibody, and the signal was developed with Trident ECL plus-Enhanced.

2 / 4
Anti-Epac1 antibody [GT1334] used in IHC (Paraffin sections) (IHC-P). GTX03246
GTX03246 IHC-P Image

IHC-P analysis of human placenta tissue section using GTX03246 Epac1 antibody [GT1334].
Dilution : 1:100

3 / 4
Anti-Epac1 antibody [GT1334] used in Western Blot (WB). GTX03246
GTX03246 WB Image

WB analysis of various samples using GTX03246 Epac1 antibody [GT1334].
Dilution : 1:1000
Loading : 25μg per lane

4 / 4
Anti-Epac1 antibody [GT1334] used in Western Blot (WB). GTX03246
Anti-Epac1 antibody [GT1334] used in Western Blot (WB). GTX03246
Anti-Epac1 antibody [GT1334] used in IHC (Paraffin sections) (IHC-P). GTX03246
Anti-Epac1 antibody [GT1334] used in Western Blot (WB). GTX03246
  • Host
    Rabbit
  • Clonality
    Monoclonal
  • Clone Name
    GT1334
  • Isotype
    IgG
  • Applications
    WB IHC-P
  • Reactivity
    Human, Mouse, Rat
See all Epac1 products