EphA1 antibody [5D2]

Cat. No. GTX83346
Cat. No.  GTX83346
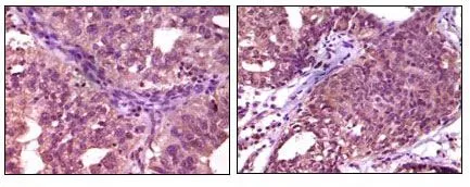
Anti-EphA1 antibody [5D2] used in IHC (Paraffin sections) (IHC-P). GTX83346
GTX83346 IHC-P Image

IHC-P analysis of human ovary carcinoma (left) and breast carcinoma (right) using GTX83346 EphA1 antibody [5D2].

1 / 2
Anti-EphA1 antibody [5D2] used in Western Blot (WB). GTX83346
GTX83346 WB Image

WB analysis of A549 (1) and HeLa (2) cell lysate using GTX83346 EphA1 antibody [5D2].

2 / 2
Anti-EphA1 antibody [5D2] used in IHC (Paraffin sections) (IHC-P). GTX83346
Anti-EphA1 antibody [5D2] used in Western Blot (WB). GTX83346
  • Host
    Mouse
  • Clonality
    Monoclonal
  • Clone Name
    5D2
  • Isotype
    IgG1
  • Applications
    WB IHC-P ELISA
  • Reactivity
    Human
See all EphA1 products