EphA1 antibody

Cat. No. GTX25385
Cat. No.  GTX25385
Anti-EphA1 antibody used in Western Blot (WB). GTX25385
GTX25385 WB Image

WB analysis of HeLa cell lysate using GTX25385 EphA1 antibody.

1 / 2
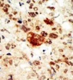
Anti-EphA1 antibody used in IHC (Paraffin sections) (IHC-P). GTX25385
GTX25385 IHC-P Image

IHC-P analysis of human breast carcinoma using GTX25385 EphA1 antibody.

2 / 2
Anti-EphA1 antibody used in Western Blot (WB). GTX25385
Anti-EphA1 antibody used in IHC (Paraffin sections) (IHC-P). GTX25385
  • Host
    Rabbit
  • Clonality
    Polyclonal
  • Isotype
    IgG
  • Applications
    WB IHC-P
  • Reactivity
    Human
See all EphA1 products