EphB2 antibody

Cat. No. GTX57740
Cat. No.  GTX57740
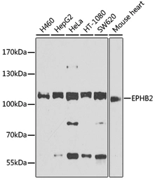
Anti-EphB2 antibody used in Western Blot (WB). GTX57740
GTX57740 WB Image

WB analysis of various sample lysates using GTX57740 EphB2 antibody.
Dilution : 1:1000
Loading : 25μg per lane

1 / 1
Anti-EphB2 antibody used in Western Blot (WB). GTX57740
  • Host
    Rabbit
  • Clonality
    Polyclonal
  • Isotype
    IgG
  • Applications
    WB
  • Reactivity
    Human, Mouse
See all EphB2 products